尿酸是嘌呤代谢终产物。多数哺乳动物依赖尿酸氧化酶将其代谢为易溶物质排出,但人类因进化丢失该酶导致代谢受阻。尿酸在体内蓄积会引发高尿酸血症,导致尿酸盐沉积引发痛风,并增加肾结石、慢性肾病及心血管疾病风险。目前临床应用的口服降尿酸药存在过敏或心血管副作用风险;外源重组尿酸酶则因半衰期短、免疫原性强,需频繁给药且疗效易衰减,临床干预手段仍具局限性。
近日,环码生物科学创始人王泽峰团队在bioRxiv发表研究论文:A circRNA-based uricase replacement therapy for sustained treatment of hyperuricemia。
该研究构建了脂质纳米颗粒(LNP)包封的尿酸酶环状RNA(circUOX-LNP)递送平台。利用circRNA固有的结构稳定性,实现类人源尿酸酶在肝脏的长效表达。经重度高尿酸血症小鼠模型验证,该疗法单次给药可实现长达10天的尿酸控制,并改善高尿酸引发的肾脏病变,为高尿酸血症的长效酶替代治疗提供新策略。
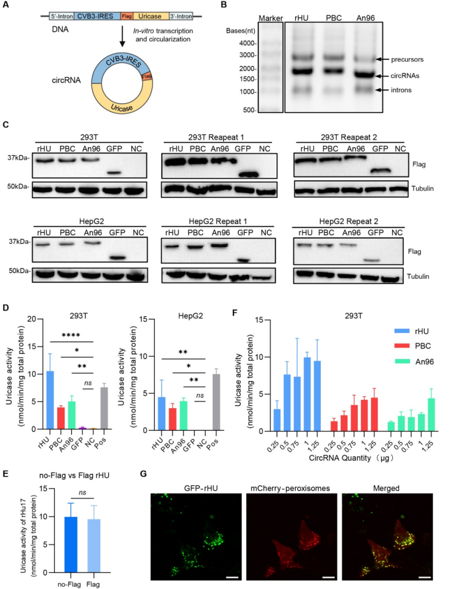
circUOX的设计与表达
研究通过II型内含子自催化环化策略,成功合成了编码尿酸酶的circRNA,并引入CVB3 IRES驱动无帽依赖性翻译。在对比了三种不同的尿酸酶变体(rHU、PBC、An96)后,体外细胞实验(293T与HepG2)结果显示,类人源重建变体rHU展现出最高且呈剂量依赖的蛋白表达与酶学活性。同时,荧光共定位实验证实,由circRNA翻译出的尿酸酶能够准确地定位至细胞的过氧化物酶体中,与天然尿酸酶的生理分布一致。
图1 | UOX CircRNA的合成和表达表征
LNP-circUOX体内表达与安全性
为评估体内递送效率与安全性,研究人员采用ALC-0315配方制备了封装类人源重建变体rHU的circUOX-LNP。通过对野生型小鼠进行尾静脉注射(0.3-1.2 mg/kg),结果显示小鼠肝脏中的尿酸酶表达呈现剂量依赖性。RT-qPCR与Western blot分析证实,0.6 mg/kg和1.2 mg/kg剂量组在给药后第5天仍维持明显的蛋白水平,且各剂量组小鼠的血清肝肾功能指标(ALT、AST、ALP、尿素、肌酐等)均未见异常;组织学HE染色显示心、肝、脾、肺、肾无明显病理毒性,表现出良好的生物安全性与耐受性。
图2 | UOX(Rhu)CircRNA在小鼠肝脏中的表达及安全性评估
circUOX-LNP降尿酸作用验证
研究在Uox基因敲除(Uox-/-)小鼠模型中评估了circUOX-LNP的疗效。单次给药可在24小时内将血尿酸降至饱和阈值(约400 μM)以下,药效维持长达10天。在多次给药模型中,每剂circUOX-LNP均能诱导血尿酸快速降至接近正常水平。相比每日灌胃别嘌醇(15 mg/kg),circUOX-LNP在给药第1天即显著起效。此外,治疗显著降低了小鼠血清尿素水平,并缓解了由高尿酸引起的肾积水及肾实质损伤。截至第20天,重复给药组的小鼠主要器官形态正常,耐受性良好。
图3 | CircUOX-LNP的降尿酸作用
转录组分析与肾脏保护
为深入探究该疗法对靶器官的保护机制,研究对治疗后的小鼠肾脏进行了转录组测序。分析表明,circUOX-LNP不仅清除了系统性尿酸堆积,还从分子层面逆转了高尿酸导致的基因表达异常。治疗组小鼠肾脏中与炎症和纤维化密切相关的通路(如TNF、THBS1、NFKB1、IL-1β等)被显著抑制,趋化因子(如CCL2、CCL4)的表达大幅下调。这说明该疗法通过长效降尿酸,成功阻断了下游的炎症级联反应,从而发挥了直接的肾脏保护作用。
图4 | CircUOX-LNP的肾脏保护作用
长效治疗与生存获益
为评估长效治疗潜力,研究人员对4周龄的Uox基因敲除小鼠开展了为期69天的实验,给药频率为每8天一次。结果显示,circUOX-LNP在整个周期内维持了稳定且强效的降尿酸效果,且多次重复给药未出现药效衰减。
相比于对照组出现的死亡及严重病理损伤,治疗组小鼠在观察期内全部存活,生存率显著提高。此外,长期治疗显著缓解了高尿酸引起的肾脏病变,降低了血清尿素及肌酐水平。生化与组织学评价证实,长效给药对肝功能及主要器官未产生可检测到的毒性,展现了良好的长期安全性。
图5 | CircUOX-LNP在高尿酸血症小鼠中的长期疗效
总结
本研究构建了靶向肝脏的circUOX-LNP递送平台,利用circRNA的高稳定性实现了尿酸酶在体内的长效表达。该策略改善了传统重组蛋白药物半衰期短的局限,并在降尿酸起效速度、药效维持时间及肾脏保护效能上,展现出优于临床常规口服药物的表现。
结合体内外药效学验证及转录组学机制分析,该研究不仅提示了高尿酸血症的新型干预策略,更为circRNA技术作为单基因代谢缺陷疾病酶替代疗法的临床转化,提供了重要的科学依据:
拓展慢病管理新领域:传统RNA疗法多应用于预防性疫苗或肿瘤免疫,本研究展示了circRNA在代谢性慢病蛋白替代治疗中的应用潜力。
系统性给药的安全与长效验证:本研究在动物模型中实现了稳定的蛋白表达与良好的生物安全性,为环化工艺与LNP递送系统在全身系统性给药场景下的应用提供了实验依据与数据支持。
长效酶替代策略的深化探索:作为前沿探索,该策略向临床转化的潜力,仍有待在更高等动物模型中进一步评估长期重复给药的药代动力学及类人源蛋白的免疫耐受性特征来予以论证。
原文链接:
https://www.biorxiv.org/content/10.64898/2026.03.19.712815v2
.png)