2020年3月21日,西班牙的 Marcos de la Pena在Nucleic Acids Research (IF=11.147)杂志上发表了一篇题为‘Small circRNAs with self-cleaving ribozymes are highly expressed in diverse metazoan transcriptomes’的文章,该文章证实了动物和真核生物中存在一个新且保守的途径,可以通过小的核酶有效地合成环状RNA,这为新兴的circRNA研究领域的新工具的开发打开了大门。

核酶是现代基因组中存在的催化性RNA,典型的锤头状核酶(HHR)是一种从细菌到人类基因组的小型自我切割基序。锤头状核酶分为 I型、II型和III型。本研究对自1987年以来报道的各种后生动物基因组中的经典I型HHR基序进行了深入研究。首先本研究对来自三个亲缘关系较远的后生动物:刺胞动物(珊瑚),软体动物(贻贝)和脊索动物类(蝾)的基因组进行系统地生物信息学分析和动力学分析,发现在它们基因组的DNA串联重复序列中存在丰富的I型HHR基序,长度约为170-400 nt,并且大多以线性和环状RNA的形式存在。另外,大多数无脊椎动物逆转录酶中都存在有效的HHR自切割,而脊椎动物逆转录酶中的HHR需要二聚体才能达到较高的自我切割率。

图1 具有I型HHR的逆转录酶在贻贝和其他许多可能的无脊椎动物中以异质circRNA的形式表达
用蛋白连接酶对HHR自连接的逆转录酶RNA的连接测定表明,尽管I型HHR具有体外自连接的已知功能,但tRNA连接酶最有可能负责动物中的逆转录酶RNA环化。

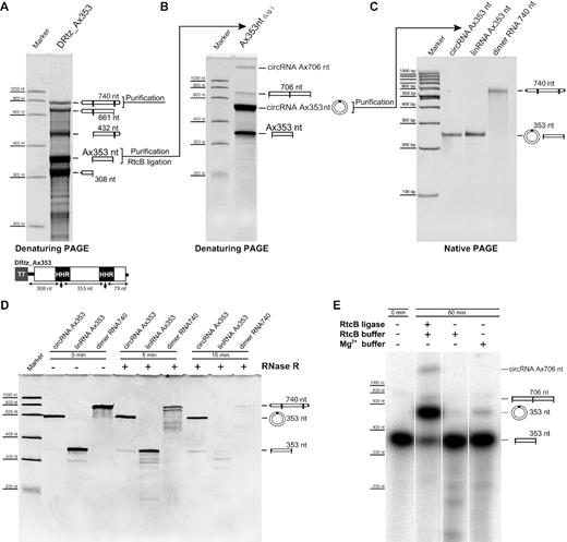
图2 RNA逆转录酶的体外环化
这篇研究的结果回答了有关多种动物基因组中典型的HHR的存在和作用的问题。总而言之,后生动物中这些最小的修饰元素证实了通过动物和真核生物中保守的自催化RNA进行circRNA生物合成的新自然途径的存在。未来对具有自切割核酶的RNA环的研究将有助于我们破译这些丰富分子在真核转录组中的作用,而且还可以开发新的分子。
参考文献
Amelia Cervera A, de la Peña M. 2020. Small circRNAs with self-cleaving ribozymes are highly expressed in diverse metazoan transcriptomes. Nucleic Acids Research. https://doi.org/10.1093/nar/gkaa187
.png)