治疗性肿瘤疫苗作为一种新型的免疫治疗方法,在恶性肿瘤治疗中表现出良好的特异性、安全性和耐受性。
高免疫原性和准确靶点特异性的抗原对于诱导有效和持久的免疫反应至关重要。Glypcan-3(GPC3)是硫酸乙酰肝素蛋白多糖家族的一员,通过糖基磷脂酰肌醇(GPI)固定在细胞膜上。GPC3在肝细胞癌(HCC)中高表达,是一种特异的生物标志物。目前,多种基于GPC3的治疗候选药物正在进行临床试验,包括单抗、双特异性抗体和CAR-T细胞治疗。
然而,GPC3多肽疫苗单一疗法的抗肿瘤效果有限,可能是由于抗原片段有限,限制了整体免疫反应。RNA疫苗可编码完整的抗原,含所有的免疫表位,或可诱导更全面的免疫应答。此外,RNA疫苗的生产更简单,成本效益更高。抗原产生的稳定性和持久性也会限制癌症疫苗的效力,高稳定性的环状RNA(circRNA)为GPC3疫苗研发提供了一个有前景的替代方案。
浙江大学医学院附属第一医院吴健教授团队在Hepatology上发表研究论文:GPC3-based circular RNA vaccine suppresses hepatocellular carcinoma progression by activating adaptive immune responses。
研究设计了一种编码GPC3的circRNA肝癌疫苗,并对该疫苗的疗效和安全性进行了评价。circGPC3疫苗可以持续产生抗原,肿瘤疫苗的免疫效果优于mRNA肿瘤疫苗。此外,circGPC3疫苗联合Toll样受体-Ⅳ(TLR4)激动剂,重编程肿瘤微环境(TME),可以更有效地抑制小鼠肝癌进展,为肝细胞癌提供了有转化前景的治疗策略。
GPC3为肝癌肿瘤疫苗的潜在靶点
研究通过数据库分析验证GPC3在肝细胞癌中特异性高表达,是HCC的特异性标志物,且与肿瘤免疫微环境(TME)调节有关,可能是理想的肿瘤相关抗原(TAA),可用于开发HCC肿瘤疫苗。
图1 GPC3可能成为肝癌(HCC)肿瘤疫苗的潜在靶点
mRNA-GPC3诱导抗肿瘤免疫
研究针对GPC3抗原,开发了基于SM102的脂质纳米粒(LNP)的mRNA-GPC3疫苗。该疫苗在体外显著促进DC的成熟,相比对照组(48.0%)和LNP组(52.3%),mRNA-GPC3疫苗组CD80+ CD86+ DC比例(75.7%)显著增加,且显著促进IL-12分泌;进一步增强共培养的CD8⁺T细胞的增殖与活化,并提升TNF-α分泌。
在皮下HCC小鼠模型中,mRNA-GPC3疫苗显著抑制肿瘤生长,增加肿瘤内CD8⁺ T细胞浸润,且未引起明显毒性反应。综上,mRNA-GPC3可以诱导先天免疫和获得性免疫反应,可作为HCC肿瘤疫苗的有效抗原。
图2 mRNA疫苗的体内外免疫原性评价
环状RNA疫苗平台优于线性mRNA
RNA疫苗的效果在很大程度上受到抗原表达的影响。circRNA因其共价环结构,稳定性高于线性mRNA。因此,团队构建了编码GPC3的肝癌疫苗circGPC3。
足够的高度成熟DC对于有效的免疫激活至关重要。这些DC通过呈递抗原肽和分泌肿瘤抑制细胞因子(如IL-12),激活T细胞,以诱导强大的细胞毒反应。
在Hepa1-6细胞中,相比线性mRNA,circGPC3组呈现显著更高的RNA和蛋白表达水平,并促进更强的DC成熟和T细胞活化效果:诱导CD80+ CD86+ DC比例为83.6%,明显高于mRNA-GPC3组(75.1%);激活CD44+ CD62- T细胞的比例(32.8%)也高于mRNA组(23.3%);诱导的TNF-α分泌也显著增加。
在Hepa1-6皮下肿瘤小鼠模型中,circGPC3疫苗治疗与肿瘤抑制存在明显的剂量效应,肿瘤抑制效率为:30μg剂量组88.5%,20μg剂量组82.0%和10μg剂量组75.6%。
circGPC3和mRNA-GPC3疫苗都显著抑制了肿瘤的生长。然而,circGPC3即使在较低剂量(10μg)下也显示出更强的肿瘤效果(抑制率达77.3%),显著增加了TME内CD8+ T细胞比例;而mRNA-GPC3组肿瘤抑制率为63.6%。总之,circRNA在翻译效率、表达稳定性和肿瘤抑制效果方面均优于线性mRNA。
图3 circRNA作为肿瘤疫苗平台,比mRNA具有更大的潜力
circGPC3联合TLR激动剂的疗效
促炎免疫环境对于有效的细胞毒性T细胞反应是必不可少的。TLR激动剂有助于建立促炎免疫环境,从而增强抗肿瘤免疫反应。
研究对比多种TLR激动剂,发现添加TLR4激动剂与circGPC3联用的肿瘤抑制效果最佳,在皮下HCC小鼠模型中肿瘤抑制率高达94%;TLR4激动剂或circGPC3单一应用时,肿瘤抑制率仅分别为33%和49%。在人源化HLA-A2.1转基因小鼠中也呈现类似的效果。
治疗组小鼠体重或生化参数在统计学上没有显著差异,未发现严重症状或明显的组织损伤,表明circGPC3联合TLR4治疗具有良好的安全性。
图4 联合使用TLR-Ⅳ激动剂增强circRNA疫苗的效力
circGPC3联合TLR-Ⅳ激动剂重编辑TME
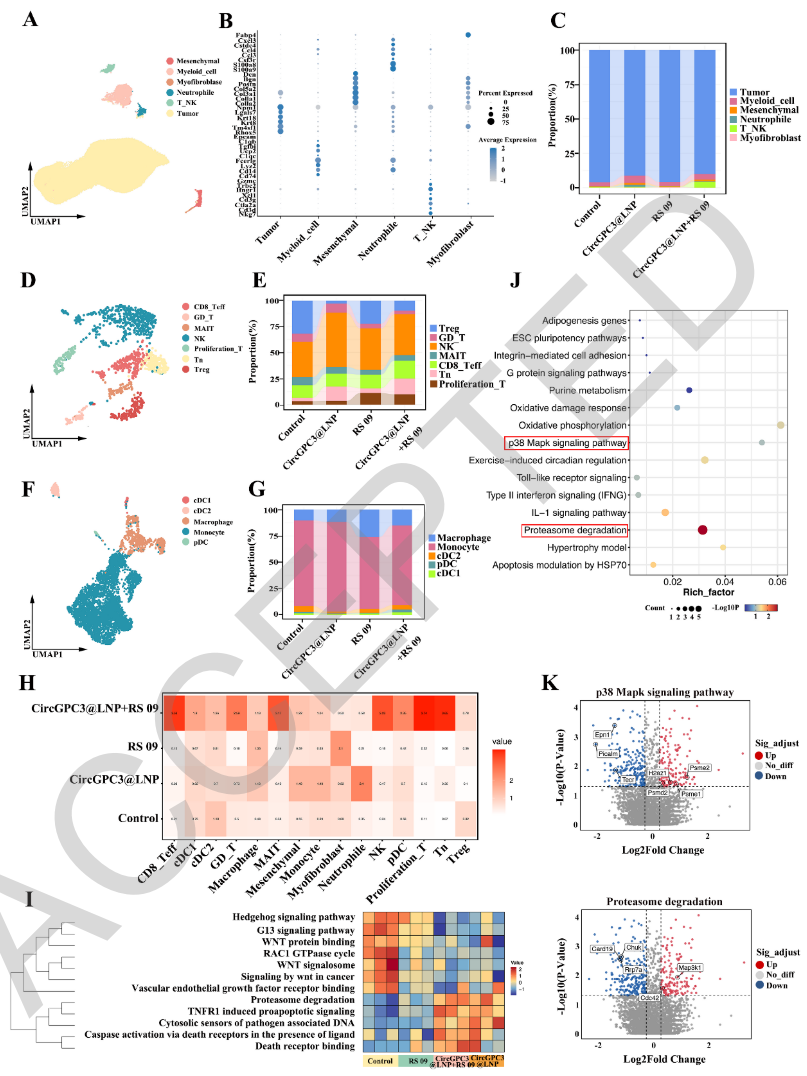
单细胞RNA测序和CyTOF分析结果显示,联合治疗显著增加肿瘤微环境中CD8⁺ T细胞、cDC1和NK细胞的比例,同时减少髓源性抑制细胞;效应CD8⁺ T细胞显示其处于高度活化和细胞毒性状态;cDC1亚群显著富集,而免疫抑制性cDC2减少,整体TME向免疫激活状态转变。
CellChat分析显示联合治疗显著增强cDC1与CD8⁺ T细胞的相互作用,特别是通过MHC-I类分子抗原呈递途径。H2-K1-CD8a配体-受体对在联合组中表达上调,促进T细胞识别与活化。空间转录组学分析也支持抗原呈递与T细胞激活的增强。总之,circGPC3联合TLR4激动剂可显著增强免疫蛋白酶体介导的抗原呈递,通过MHC-I信号通路增强cDC1和CD8+ T细胞之间的相互作用,促进更有效的适应性免疫反应启动和TME重编程。
图5 circGPC3疫苗接种后肿瘤免疫细胞的单细胞转录组图谱
circGPC3联合ICIs治疗
研究在原位HCC小鼠模型中进一步分析了circGPC3联合TLR4激动剂和anti-PD-1抗体的潜在协同抗肿瘤作用。结果显示,单用组明显抑制肿瘤生长,联合用药组抗肿瘤效果更佳,CD8+ T细胞的浸润进一步增强,这表明先天免疫激活和检查点阻断之间存在协同作用。
图6 circGPC3联合TLR-Ⅳ激动剂增强CDC与CD8+T细胞的相互作用
总结
研究基于circRNA开发了一种以肿瘤相关抗原GPC3为靶点的癌症疫苗circGPC3,以增强抗原的稳定性和抗肿瘤免疫反应。与传统的mRNA疫苗相比,circRNA疫苗在蛋白表达的持久性上远强于mRNA,并体现更强的肿瘤抑制效果。此外,circGPC3联合免疫佐剂(TLR4激动剂)和ICIs(anti-PD-1抗体),进一步增强免疫反应和肿瘤抑制效果。研究为提高HCC免疫治疗效果提供一种有前景的策略。
原文链接:
https://journals.lww.com/hep/abstract/9900/gpc3_based_circular_rna_vaccine_suppresses.1464.aspx
.png)