本期特邀重庆大学生命科学学院黄川团队分享解读,感谢对circRNA平台的关注!
RNA结合蛋白(RNA binding protein,RBP)是一类具有重要分子功能的转录后调节因子,在分子和生理层面参与生物的生命进程。然而,与RBP的经典功能不同,一类直接作用于染色质的RBP(chromatin-interacting RBP,ChRBP)近期被报道在基因的转录过程中发挥重要调控作用。例如,ChRBP Hlc和gawky可以在活性染色质上协助通用转录机器区分本底转录和应激诱导转录。然而,ChRBP的上游调控因子及ChRBP被调控的分子机制尚未阐明。研究表明,环状RNA (circRNA)是一类单链且共价闭合的核酸分子,通过多种分子机制参与基因表达调控,并与多种人类疾病的发生发展密切相关。由于其半衰期长、不易降解的特性,circRNA可能是ChRBP在染色质上发挥正确分子功能的潜在调控因子。
近日,重庆大学生命科学学院黄川团队在Nucleic Acids Research(IF=14.9)上发表题为“A circular RNA-gawky-chromatin regulatory axis modulates stress-induced transcription”的研究论文,揭示了ChRBP分子功能被circRNA调控的全新机制,以及circRNA作为trans-acting因子调控多种应激胁迫基因转录的新功能。

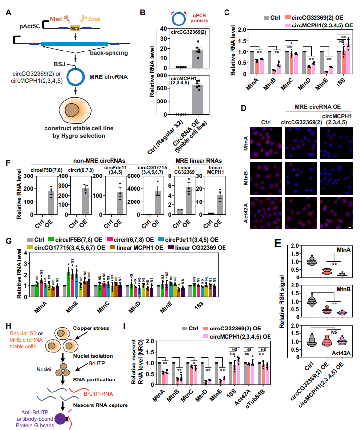
在作者团队之前的研究中,ChRBP gawky是胁迫诱导转录过程中的特异性调控因子。为了阐释gawky调控与被调控的完整通路,在本研究中,作者通过CLIP-Seq及分子生物学实验,鉴定出一类铜胁迫过程中与ChRBP gawky特异性结合且富含金属响应元件的circRNA(metal-responsive element-containing circRNA, MRE circRNA)。circRNA-Seq及核质分离实验显示MRE circRNA均存在于细胞核与细胞质中,且铜处理条件下MRE circRNA而非亲本mRNA的核质比率明显下降,表明其在应激条件下核输出模式的特异性。

为了探究MRE circRNA调控应激响应基因的功能,作者构建了两个代表性MRE circRNA(circCG32369(2)和circMCPH1(2,3,4,5))过表达载体。发现铜胁迫状态下,MRE circRNA过表达细胞中MT基因(一类已知的应激响应基因)的mRNA水平显著下降。相反,不含MRE基序的对照circRNA或具有相同MRE circRNA序列的线性形式的RNA过表达却不影响MT基因的丰度。Nuclear run-on实验也证实了MRE circRNA的过表达会显著抑制MT 基因的新生转录物的丰度。以上数据证明,MRE circRNA作为有效的转录抑制因子响应铜胁迫。
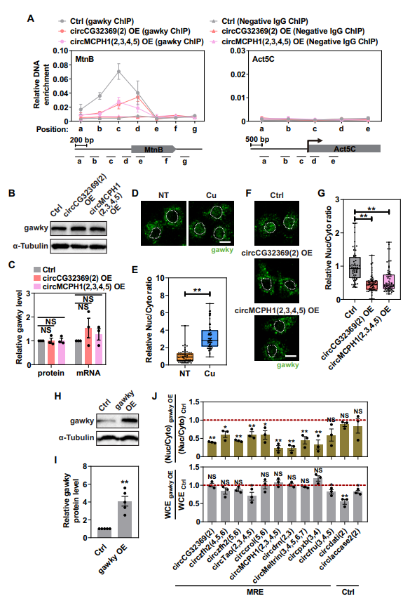
随后,作者以MtnB mRNA作为报告基因,探究MRE circRNA与ChRBP gawky的功能相关性。使用靶向gawky的dsRNA成功耗尽细胞中的gawky蛋白,qPCR结果显示,对照细胞中MRE circRNA的过表达导致MtnB的表达水平显著下降,与之前的结果一致。相反,gawky蛋白缺失的细胞中MtnB的表达却不受MRE circRNA过表达的影响。RNA聚合酶Ⅱ(Pol Ⅱ)ChIP实验同样证明,在没有gawky的情况下,MRE circRNA的过表达不再影响Pol II与MtnB的结合。综上实验结果表明,gawky的存在是MRE circRNA抑制应激诱导转录的先决条件。

同时,gawky ChIP实验表明,相较于普通S2细胞,MRE circRNA过表达细胞中gawky结合MtnB基因启动子的能力显著降低。在铜胁迫下,gawky需要进入细胞核发挥应激转录调控功能。此时猜想,MRE circRNA是否调节gawky蛋白的核质穿梭能力。事实上,免疫荧光实验显示MRE circRNA的过表达导致大部分gawky在细胞质中积累。与此同时,gawky蛋白的增加也使得MRE circRNA的核质比率降低。综上所述,MRE circRNA通过调节gawky的分子功能(即从应激响应基因中释放gawky并增强其细胞质积累)特异性地调节应激诱导的转录。
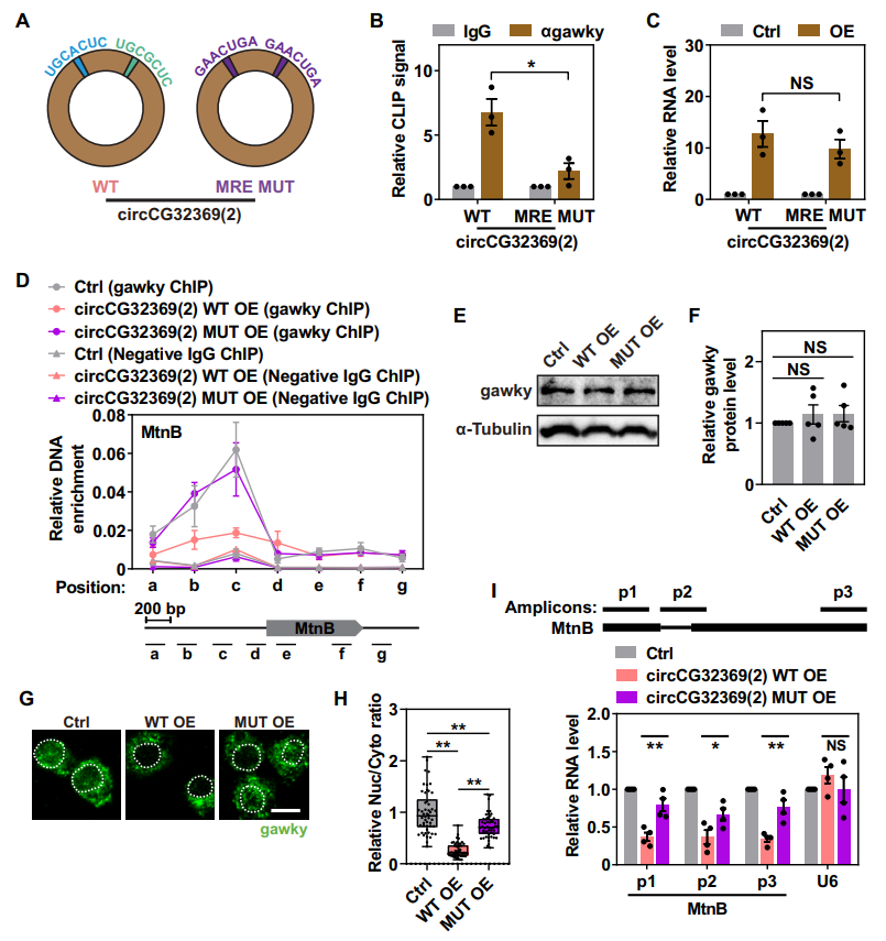
由于此类circRNA中富含MRE,作者猜想MRE可能有助于其在应激诱导转录中发挥抑制作用。为了验证此猜想,该团队构建了MRE circRNA的MRE突变载体。一系列实验表明,gawky结合MRE突变的circRNA的能力显著降低,且gawky与MtnB基因启动子的结合能力不受MRE突变circRNA过表达的影响。同时,MRE突变的circCG32369(2)诱导应激条件下gawky的细胞质积累能力大大受损。因此,MRE缺失的circCG32369(2)对铜诱导的MtnB转录的抑制作用也减弱。circMCPH1(2,3,4,5)的MRE突变体产生了类似的表型。综上实验结果表明,MRE对于circRNA在应激条件下精确调控gawky介导的转录是必不可少的。
接下来,为了探究MRE circRNA对于应激状态下应激响应基因的转录抑制是否具有广谱性。后续的RNA-Seq分析显示,circCG32369(2)的过表达对1627个硫酸铜处理后表达水平显著升高的基因具有全局的转录抑制作用,且铜诱导基因的表达水平比非诱导基因的表达水平下降的程度要大得多。circMCPH1(2,3,4,5)过表达导致相同的表型,两类MRE circRNA过表达的转录抑制作用也表现出非常显著的相关性。以上研究结果有力地支持了MRE circRNA在抑制应激诱导转录中的广泛作用,并清楚地揭示了它们对应激诱导基因的选择性作用。
大量研究证明铜诱导细胞毒性的一种重要机制是铜离子的氧化还原产生羟基自由基,导致细胞氧化损伤和DNA链断裂。作者从RNA-seq数据中发现一系列抗氧化防御和DNA损伤修复相关基因在细胞对铜胁迫的防御中显著上调,在两种MRE circRNA稳定细胞系中却被显著抑制。这意味着MRE circRNA可能对细胞抵御不利环境具有负面作用。事实上,MRE circRNA的过表达显著增加了核内的γH2A.V信号,加重了铜诱导的DNA损伤,同时显著降低了细胞的存活能力。以上结果证实了MRE circRNA在铜胁迫下促进受损细胞清除的生理相关性。
综上所述,这项研究
1)揭示了作为ChRBP上游调控因子的关键circRNA;
2)揭示了MRE circRNAs作为整体(as a group)协同调控胁迫响应基因转录的新功能;
3)发现了MRE circRNA-ChRBP调控轴通过加重铜诱导的DNA损伤降低细胞对铜胁迫的抵抗力,并清除受损细胞的应答机制,这进一步阐明了ChRBP功能活性失调的细胞生理意义。
原文链接
https://doi.org/10.1093/nar/gkae157
.png)