人乳头瘤病毒(HPV)的持续感染与多种恶性肿瘤密切相关,其中HPV16型与全球约50%的宫颈癌相关,并占HPV相关口咽鳞状细胞癌(属头颈部肿瘤谱系)病例的约90%。尽管预防性HPV疫苗已广泛应用,但面对已发生感染或肿瘤已形成的患者,现有疫苗主要提供预防获益,难以发挥明确的治疗效果。传统的放化疗对复发或晚期患者疗效有限,临床亟需能有效清除HPV阳性癌细胞的创新免疫疗法。
相比线性mRNA,环状RNA(circRNA)凭借独特的闭环结构,无需Cap和Poly-A,不仅体内稳定性更高,且生产工艺无需复杂的核苷酸修饰,这一突破性优势,使其成为攻克HPV相关肿瘤的理想“下一代”疫苗平台。
近日,圆因生物(Therorna Inc.)研发团队在国际著名肿瘤学期刊Journal of Experimental & Clinical Cancer Research上发表了题为“Circular RNA-based HPV16 therapeutic vaccine elicits potent and durable antitumor immunity”的研究论文。
该研究报道了一款新型LNP递送的环状RNA治疗性疫苗——circRNAE7E6。该疫苗通过独特设计的抗原工程策略(内质网靶向+辅助T细胞表位),在HPV16阳性肿瘤模型中诱导了强效的抗原特异性CD8+ T细胞反应,实现了肿瘤的完全消退,并建立了长效的免疫记忆以防止肿瘤复发。此外,该疫苗还能重构肿瘤微环境,显著提升抗PD-L1免疫检查点疗法的疗效。
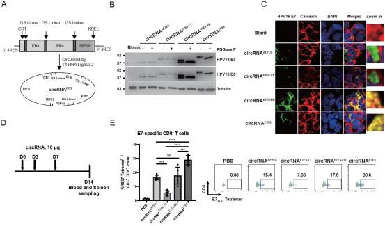
人乳头瘤病毒LNP-CircRNA疫苗的设计
为构建高效安全的治疗性疫苗,研究团队对编码去致癌活性的HPV16 E6/E7突变体的circRNA进行了工程化设计,结合Split IRES环化与LNP包封技术,成功制备了具有ER靶向(CRT/KDEL序列)和辅助T细胞表位(TT序列)双重修饰的疫苗。研究发现,单独引入辅助表位会削弱CD8+ T细胞应答,而ER靶向策略不仅优化了抗原加工与糖基化修饰,还逆转了这一机制,显著增强了抗原特异性CD8+ T细胞的杀伤功能,同时有效激活了CD4+ T细胞应答。
图1 circRNAE7E6疫苗的设计、表征及优异的体内免疫原性
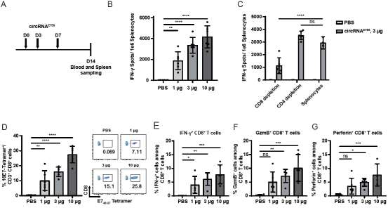
circRNAE7E6诱导强效且剂量依赖性的抗原特异性CD8+ T细胞应答
为全面评估体内免疫原性,研究团队对小鼠进行了不同剂量(1μg、3μg、10μg)的免疫接种,结果显示circRNAE7E6诱导了剂量依赖性的抗原特异性免疫反应。细胞耗竭实验表明,产生的IFN-γ主要由CD8+ T细胞介导。在最高剂量组(10μg)中,外周血E7特异性CD8+ T细胞比例高达27%,且这些细胞表现出强大的功能活性,能够分泌高水平的IFN-γ、颗粒酶B和穿孔素,具备强大的肿瘤细胞杀伤潜力。
图2 circRNAE7E6激活抗原特异性T细胞
circRNAE7E6诱导已形成肿瘤的快速消退并显著延长生存期
在TC-1荷瘤模型中,即使在肿瘤已形成(约100mm³)后才开始治疗,circRNAE7E6仍可诱导肿瘤快速回缩。治疗第9天,1/3/10µg组的TGI分别达到83.36%、85.87%和92.45%。对照组小鼠因肿瘤负荷过高在第16天全部被安乐死,而治疗组获得显著生存优势,至第25天多数小鼠实现无瘤状态(Tumor-free),表明该疫苗可有效清除既有肿瘤并带来明确生存获益。
图3 circRNAE7E6疫苗在TC-1同系肿瘤模型中的治疗效力
circRNAE7E6促进抗原特异性T细胞强效浸润并诱导记忆CD8+ T细胞生成
研究团队通过流式细胞术分析肿瘤浸润T细胞以解释circRNAE7E6的抗肿瘤机制。结果显示,circRNAE7E6免疫(1–10 μg)增强肿瘤免疫细胞浸润,尤其显著扩增肿瘤内E7特异性CD8+ T细胞,并使CD4+ T细胞中Th1极化细胞适度增加。肿瘤浸润CD8+ T细胞IFN-γ与颗粒酶B表达升高,且PD-1⁺ CD8+ T细胞比例上升,提示与PD-1/PD-L1阻断联用潜力。脾细胞记忆T细胞频率轻度升高且具有统计学意义,提示可能建立系统性免疫监视。
图4 circRNAE7E6疫苗接种诱导肿瘤浸润淋巴细胞
circRNAE7E6建立持久的CD8+ T细胞免疫记忆以预防肿瘤复发
为评估疫苗的长效保护力,研究团队建立了“治疗-再挑战”模型。结果显示,circRNAE7E6疫苗促使100%的荷瘤小鼠肿瘤完全消退,并在高剂量肿瘤细胞“再挑战”中展现了卓越的保护效力,所有治愈小鼠未见肿瘤复发。分析表明,这一持久的防复发能力源于疫苗在体内成功建立了高水平的E7特异性记忆CD8+ T细胞,提供了长期的免疫防线。
图5 接种circRNAE7E6疫苗提供对HPV16相关肿瘤的持久保护
circRNAE7E6治疗诱导免疫激活相关基因上调
RNA测序(RNA-seq)分析揭示,circRNAE7E6治疗引发肿瘤组织转录组重编程。疫苗显著抑制肿瘤增殖基因(如DNA复制、细胞周期),同时大幅上调免疫激活基因(如CXCL10、CXCL12)。这一“抑癌-促免疫”的双重基因调控模式表明,疫苗能有效将免疫抑制的“冷肿瘤”转化为T细胞活跃的“热肿瘤”。
circRNAE7E6通过增强T细胞浸润与调节巨噬细胞极化逆转肿瘤免疫抑制微环境
ImmuCellAI-mouse分析结合免疫荧光验证显示,circRNAE7E6进一步提升肿瘤内T细胞浸润,尤其细胞毒性CD8+ T细胞显著增加。肿瘤内效应记忆与中心记忆CD8+ T细胞均升高,而调节性T细胞下降;同时TAM向促炎性M1表型极化增强,M2呈下降趋势。整体提示肿瘤微环境被重构为更具免疫刺激性的状态,从而促进抗肿瘤免疫反应。
图6 circRNAE7E6疫苗接种诱导强效的免疫激活基因特征及活跃的CD8+ T细胞浸润
HPV16 circRNAE7E6疫苗与PD-L1阻断剂联用可增强抗肿瘤应答
针对TC-1肿瘤对抗PD-L1单药产生耐药的问题,研究发现circRNAE7E6可上调肿瘤内PD-1⁺ CD8+ T细胞,从而增强对PD-L1阻断的反应。在亚适剂量疫苗基础上联合抗PD-L1抗体显示明显协同效应,中位生存期由29天延长至46天(P<0.05),提示该疫苗有望突破免疫治疗瓶颈。
图7 HPV16 circRNAE7E6疫苗与PD-L1阻断联用改善抗肿瘤应答
总结
本研究开发了一种基于LNP递送的工程化环状RNA疫苗,并通过“ER靶向+辅助表位”的抗原设计,在动物模型中诱导了强效且持久的抗肿瘤免疫应答。该结果支持圆因生物circRNA平台在体内稳定性与免疫原性方面的技术潜力,并为核心管线TI-0093(面向HPV16阳性晚期实体瘤)提供关键的临床前依据。目前,TI-0093已于去年启动一项在HPV16阳性晚期复发或转移性实体瘤患者中开展的I期临床试验,未来有望为HPV相关肿瘤的免疫治疗策略提供新的选择。
原文链接:
https://link.springer.com/article/10.1186/s13046-026-03640-7
.png)