哺乳动物是二倍体,在哺乳动物中绝大部分等位基因不管是来自父源还是母源基本上都会同时表达或者关闭。然而,从上个世纪90年代起,科学家陆陆续续发现了一系列特殊的基因,其父源或者母源的等位基因的表达存在差异,而这种基因差异表达的调控主要受表观遗传调控,这类基因称之为印迹基因( imprinting gene),这种表观遗传学现象被称为基因印迹(genomic imprinting)。基因印迹(genomic imprinting)是一个经典的表观遗传现象,是指子代中某些特殊位点的基因仅表达来自父源或母源的等位基因,而对应的另一个等位基因表现为转录沉默。目前关于调控基因印迹的分子机制的研究主要认为与等位基因调控区的差异性DNA甲基化以及某些长链非编码RNA的参与有关。然而是否还存在其它调控基因印迹的新机制,目前尚未有明确报道。

来自美国路易斯安那州立大学的研究人员偶然发现了一个有趣的现象,通过基于5’ RACE实验技术的二代测序方法,发现了两种印迹基因Peg3和Igf2r可以生成环形RNA——circPeg3和circIgf2r。circPeg3大小约为214nt,在新生儿脑部、肺和卵巢中低丰度地表达;相反,circIgf2r由于具有不同外显子的组合,形成不同的变异体,而且在很多类型组织中高丰度地表达。这两种环形RNA的表达模式与其相应mRNA的表达模式完全不同。该研究提示了环形RNAs很有可能参与了印迹基因的功能和表达调控。
1. 通过基于5’ RACE实验的二代测序方法明确印迹基因来源的环形RNA
分离小鼠不同组织来源的总RNA后,利用针对印迹基因第二个外显子的特异性引物进行反转录成cDNA(环形RNA从第二个外显子成环的概率大),最后cDNA经G-tailing处理后巢式PCR扩增后进行二代测序。数据分析发现转录产物大多分为三种:含有1号外显子和2号外显子的正常剪接转录本、不剪接的转录本和从上游新的外显子/启动子开始的新转录本。重要的是,还发现了印迹基因可产生不寻常的外显子组合的转录本,即环形RNAs。这些印迹基因主要是Peg3, Dlk1和Igf2r。对于Peg3,和Dlk1,其circRNA会包含来自基因第一内含子的小外显子,其表达丰度很低。circE外显子是只存在环形RNA中,而不存在mRNA。对于Igf2r,可检测到该基因来源的多种形式circRNA,其不同的外显子组合可以从2号到12号外显子,而且在不同组织中的表达丰度很高。

2. 体内验证Peg3基因来源的circPeg3表达情况
通过对Peg3基因中的circE外显子设计两对反向引物(R1/F1和 R2/F2),通过巢式RT-PCR检测circPeg3表达情况(B)。PCR检测小鼠不同组织中Peg3 mRNA和circPeg3表达情况,发现Peg3 mRNA和circPeg3在组织中的表达模式不一样,两者的表达水平无相关性,Peg3 mRNA主要在胚胎、胎盘和新生儿的脑部中高表达,在其他组织中中等到低等水平地表达。而circPeg3主要在新生儿脑部、肺、卵巢表达,而且在各组织中总体表达水平偏低,这与测序结果reads偏低一致(A)。

3. circPeg3的形成机制是什么?
通过对Peg3等位基因的不同位置进行相应的突变,观察circPeg3的表达情况。KO2突变类型,是指删除了包含circE外显子的4kb基因组区域,如果这情况发生在母系遗传等位基因上,则不影响circPeg3的表达;如果这情况发生在父系遗传等位基因上,则circPeg3的表达水平明显受到抑制。CoKo突变是指在5号内含子中插入7kb序列,会缩短Peg3 mRNA的长度, 如果该突变发生在父系遗传等位基因,会明显抑制circPeg3的表达,说明circPeg3的形成需要完整长度的Peg3基因;Invert突变是指4-kb Peg3-DMR序列颠倒,这两种突变也会明显降低circPeg3的表达水平。但是DelKO突变是指删除6号外显子中1kb序列,对circPeg3的表达无明显影响。总之,circPeg3的表达需要circE和Peg3基因的2号外显子,受父系遗传等位基因突变的影响。

4. 体内验证Igf2r来源的circIgf2r表达情况
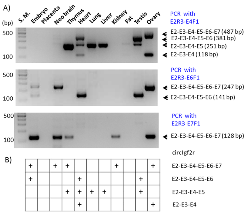
与明确Peg3基因来源的circPeg3方法一样,利用针对Igf2r基因外显子的特异性引物反转录成cDNA后,二代测序分析发现,circIgf2r形成多种变异体很有可能是由于外显子的多种组合形式导致的,而且circIgf2r的表达水平也非常高,约占总的reads的20-50%。对Igf2r基因2号外显子设计几对反向引物(B),进行巢式PCR检测Igf2r mRNA和circIgf2r在不同组织中的表达情况(A)。琼脂糖结果发现PCR出来的条带是不连续的,每个条带之间大概间隔100bp,而Igf2r基因含有48个外显子,每个外显子大概100bp大小,所以作者猜测circIgf2r具有多种变异体形式,很有可能就是通过不同外显子组合形成的,特别是2号至10号外显子。

为了验证不同形式的circIgf2r是由不同外显子组合形成的,在2号外显子设计反向引物(E2R3),在4,6,7,10号外显子分别设计前向引物(E4F1, E6F1, E7F1,E10F1),PCR结果显示除了E2R3- E10F1一对引物扩增不出来产物之外,其他三对均可以扩增出来,而且在不同组织中发现了不同形式的circIgf2r表达(A,B),其中E2-E3-E4组合形式的circIgf2r主要表达在心、卵巢,E2-E3-E4-E5-E6-E7组合形式的circIgf2r主要表达在胚胎、新生儿脑部、胸腺、肾和卵巢。二代测序没挖掘到的E2-E3-E4-E5组合形式的circIgf2r也在一些组织中表达。E2-E3-E4-E5组合和E2-E3-E4-E5-E6-E7组合的circIgf2r在组织中出现的频率较多,会更容易检测到(B)。在15个小鼠中有10个小鼠能重复出相同的结果。这些结果提示了circIgf2r通过组合不同的外显子形成不同形式的circIgf2r。

参考文献
1. http://www.sohu.com/a/158524526_650136
2. Perera BPU, Ghimire S, Kim J. Circular RNA identified from Peg3 and Igf2r. PLoS One. 2018 Sep 14;13(9):e0203850. doi: 10.1371/journal.pone.0203850.
.png)