欢迎各位来到“circRNA研究报道汇总”栏目,本期从pubmed中检索收集最新发布的circRNA文献24篇,下面我们一起来看看circRNA研究最近有哪些新进展。
- 脊髓中的CircAnks1a在神经性疼痛的啮齿动物模型中调节超敏反应
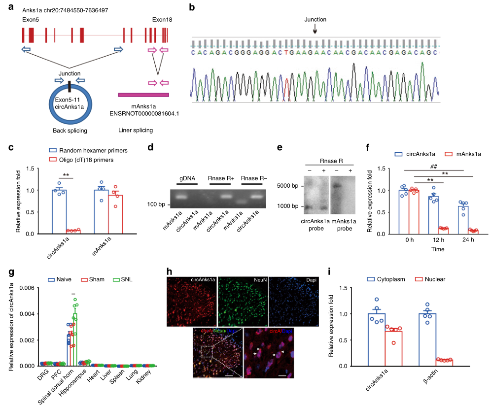
标题:CircAnks1a in the spinal cord regulates hypersensitivity in a rodent model of neuropathic pain
杂志:Nat Commun
影响因子:11.878
通讯作者:徐婷和信文君教授(中山大学中山医学院),马超教授(中山大学孙逸仙纪念医院)
许多信号级联及分子,如神经炎症反应,嘌呤受体,内源性阿片类药物和神经营养因子,参与神经病理性疼痛的发展,然而,神经病理性疼痛的分子机制仍不清楚。环状RNA(circRNA)是共价闭环状的内源性非编码RNA,在多物种中保守,它们比线性mRNA具有更高的稳定性。大多数circRNA在哺乳动物大脑中丰度较高,这表明它们可能在神经系统疾病病理过程中发挥重要作用,并可能作为疾病的生物标志物。虽然最近的研究表明神经损伤改变了大鼠脊髓背角的circRNA表达,但尚未报道circRNA是否以及如何促成神经病理性疼痛。
VEGFB是VEGF家族成员之一,在肌肉,脑和脂肪各种组织中广泛表达。由于其与VEGFA的高序列同源性和相似的受体结合模式,VEGFB最初被认为是血管生成因子,直到一系列研究证明其参与各种生理和病理过程。例如,VEGFB mRNA在放射诱导的脑损伤后的颞白质内显著增加,并且还发现VEGFB调节中枢神经系统炎症,从而恶化脑脊髓炎。然而,VEGFB是否以及如何参与神经性疼痛仍不清楚。在这项研究中,作者首次证实脊髓特异性circRNA ——circAnks1a促进转录因子YBX1易位进入细胞核。此外,核circAnks1a通过神经损伤后的特异性RNA-DNA相互作用促进YBX1和Vegfb启动子的相互作用。细胞质circAnks1a还通过海绵样吸附miR-324-3p,增强VEGFB mRNA的翻译。VEGFB的上调激发背角神经元并促成神经损伤引起的疼痛行为。这一发现为治疗神经性疼痛提供了新的分子标记物。推荐阅读Nature Communications | 神经性疼痛模型中circRNA参与调节超敏反应

图注: circAnks1a验证实验
- 综述:胃癌中circRNA的生物发生,功能及临床意义。
标题:Biogenesis, functions and clinical significance of circRNAs in gastric cancer.
杂志:Mol Cancer
影响因子:10.679
通讯作者:单婵 和 王昆教授(青岛大学医学院转化医学研究院)
胃癌(GC)是一种高复发率恶性肿瘤,全球癌症死亡排名第三,仅次于肺癌和肝癌。数据显示,亚洲国家GC的发病率和死亡率逐年增加,特别是在东亚国家,如中国,日本和韩国。在过去的几十年中,科学家对GC治疗取得了很大进展,并且已经进行了许多尝试以找到有效的治疗策略。然而,GC的发病率和死亡率仍然很高。胃癌发生是一个多阶段,缓慢进展和多因素的病理过程。幽门螺杆菌感染,肥胖,盐和硝酸盐摄入过量,以及A血型已被证明与GC风险增加有关。此外,基因突变,表观遗传改变和异常分子信号通路参与胃癌的发生,扩散和转移过程。因此,确定GC及其特定生物标志物的分子模式以开发针对特定肿瘤行为的治疗方法至关重要。近年来,circRNA作为新兴的一类RNA分子,越来越多的证据表明,circRNA参与各种疾病的发生和发展,如心血管疾病,神经功能障碍和癌症。此外,由于circRNAs的稳定性和组织特异性,它们可作为评估果蝇衰老和检测人体疾病的潜在生物标志物。除此之外,circRNA在癌症发生和发展过程中的作用尤其突出;它们已在肝细胞癌,乳腺癌,结直肠癌等中得到认可。CircRNA可能被认为是癌症可靠的诊断和治疗分子生物标志物。在本文中,作者总结了目前关于GC中circRNA的生物发生、功能和临床意义。

表注:胃癌中失调的circRNA分子统计表
- 高通量circRNA测序分析揭示了氯化两面针碱对肝细胞癌的机制的新机制。
标题:High throughput circRNA sequencing analysis reveals novel insights into the mechanism of nitidine chloride against hepatocellular carcinoma.
杂志:Cell Death Dis
影响因子:5.959
通讯作者:党裔武、陈罡和罗殿中教授(广西医科大学附属第一医院)
肝癌是全球癌症相关死亡的第四大原因,其中最常见的组织学类型是肝细胞癌(HCC)。虽然手术是HCC的主要治疗方法,但大多数患者在诊断时由于早期阶段的非典型症状而发展为晚期HCC,从而错过理想的手术时间。对于无法切除的晚期HCC患者,药物治疗是主要的治疗策略。然而,由于耐药性和不良副作用的高发生率,大多数常规化学药物未能为HCC患者提供令人满意的治疗结果。因此,开发出不良副作用轻并能有效延长HCC患者生存时间的治疗方法一直是目前研究的重点。天然产物由于其低副作用和广泛的生物活性,在探索新型抗肿瘤治疗药物方面受到越来越多科学家的关注。从我国中药草药两面针的根中分离出的主要活性成分氯化两面针碱(NC)已经被证明在人恶性肿瘤(包括HCC肝细胞癌)中具有抗癌作用。然而,迄今为止NC对抗HCC的作用机制仍然很不清楚,本研究作者前期研究发现NC可能通过针对TOP1A和TOP2A8发挥其抗HCC作用,但NC是否可以通过其他目标对抗HCC仍然值得探索。在该研究中,研究者在NC处理和未处理的HCC异种移植模型中,通过circRNA高通量测序和qPCR等技术筛选到hsa_circ_0088364和hsa_circ_0090049两个环状RNA,可能通过吸附多个miRNA,竞争性吸附方式调控一系列下游靶基因,抑制肝细胞癌的恶性生物学行为。推荐阅读:Cell Death & Disease | 高通量circRNAs测序分析揭示氯化两面针碱抑制肝细胞癌的新机制

图注:氯化两面针碱(NC)抗肝细胞癌circRNA-miRNA-mRNA作用模式图
参考文献列表
| 序号 | 主要内容 | 论文标题 | 杂志 | IF | 单位 |
| 1 | 脊髓中的CircAnks1a在神经性疼痛的啮齿动物模型中调节超敏反应 | CircAnks1a in the spinal cord regulates hypersensitivity in a rodent model of neuropathic pain | Nat Commun | 11.878 | 中山大学中山医学院等 |
| 2 | 综述:胃癌中circRNA的生物发生,功能及临床意义。 | Biogenesis, functions and clinical significance of circRNAs in gastric cancer. | Mol Cancer | 10.679 | 青岛大学医学院 |
| 3 | 高通量circRNA测序分析揭示了氯化两面针碱对肝细胞癌的机制的新机制。 | High throughput circRNA sequencing analysis reveals novel insights into the mechanism of nitidine chloride against hepatocellular carcinoma. | Cell Death Dis | 5.959 | 广西医科大学附属第一医院 |
| 4 | 环状RNA hsa_circ_0016070通过促进肺动脉平滑肌细胞增殖与肺动脉高压相关 | Circular RNA hsa_circ_0016070 is associated with pulmonary arterial hypertension by promoting pulmonary artery smooth muscle cells proliferation | Mol Ther-nucl Acids | 5.919 | 安徽医科大学第一附属医院等 |
| 5 | circPTN海绵miR-145-5p / miR-330-5p促进胶质瘤的增殖和干活。 | circPTN sponges miR-145-5p/miR-330-5p to promote proliferation and stemness in glioma. | J Exp Clin Cancer Res | 5.646 | 南方医科大学珠江医院 |
| 6 | 环状RNA-ADD3通过CDK1介导的遍在蛋白化促进EZH2降解来抑制肝细胞癌转移。 | Circular RNA circ-ADD3 inhibits hepatocellular carcinoma metastasis through facilitating EZH2 degradation via CDK1-mediated ubiquitination. | Am J Cancer Res | 4.737 | 河南省人民医院 |
| 7 | Hsa_circ_0000479作为系统性红斑狼疮的新型诊断生物标志物 | Hsa_circ_0000479 as a novel diagnostic biomarker of systemic lupus erythematosus | Front Immunol | 4.716 | 温州医科大学 |
| 8 | IRES介导的与帽无关的翻译,一条隐藏蛋白质组的途径。 | IRES-mediated cap-independent translation, a path leading to hidden proteome. | J Mol Cell Biol | 4.671 | 中国科学院上海营养与健康研究所等 |
| 9 | 急性缺血性脑卒中患者外周血单个核细胞CircRNA表达谱及功能预测。 | CircRNA expression profiles and function prediction in peripheral blood mononuclear cells of patients with acute ischemic stroke. | J Cell Physiol | 4.522 | 中山大学孙逸仙纪念医院等 |
| 10 | 褐藻糖胶通过调节FLNA衍生的环状RNA在体外影响口腔鳞状细胞癌细胞功能。 | Fucoidan affects oral squamous cell carcinoma cell functions in vitro by regulating FLNA-derived circular RNA. | Ann N Y Acad Sci | 4.295 | 青岛大学附属医院 |
| 11 | 鉴定控制环RNA表达的人类遗传变异。 | Identification of human genetic variants controlling circular RNA expression. | RNA | 3.949 | 威尔康奈尔医学院 |
| 12 | circRNA CDR1在脂多糖诱导的炎症条件下调节人牙周膜干细胞的增殖 | circRNA CDR1as Regulated the Proliferation of Human Periodontal Ligament Stem Cells under a Lipopolysaccharide-Induced Inflammatory Condition | Mediat Inflamm | 3.545 | 南京大学医学院附属口腔医院等 |
| 13 | 源自MMP9的环状RNA通过调节MMP9 mRNA稳定性促进口腔鳞状细胞癌转移。 | A circular RNA derived from MMP9 facilitates oral squamous cell carcinoma metastasis through regulation of MMP9 mRNA stability. | Cell Transplant | 3.477 | 杭州红十字会医院 |
| 14 | Circ_0039569通过调节miR-34a-5p / CCL22促进肾细胞癌的生长和转移。 | Circ_0039569 promotes renal cell carcinoma growth and metastasis by regulating miR-34a-5p/CCL22. | Am J Transl Res | 3.266 | 哈尔滨医科大学附属第二医院 |
| 15 | 环状RNA表达和circPTPRM促进肝细胞癌的增殖和迁移。 | Circular RNA expression and circPTPRM promotes proliferation and migration in hepatocellular carcinoma. | Med Oncol | 3.252 | 中国医科大学附属第一医院 |
| 16 | 在EtOH诱导的酒精性肝炎小鼠模型中肝组织的环状RNA表达谱。 | Circular RNA expression profile of liver tissues in an EtOH-induced mouse model of alcoholic hepatitis. | Eur J Pharmacol | 3.17 | 安徽医科大学 |
| 17 | 环状RNA circ-PITX1通过作为竞争性内源RNA调节miR-379-5p / MAP3K2轴来促进胶质母细胞瘤的进展。 | Circular RNA circ-PITX1 promotes the progression of glioblastoma by acting as a competing endogenous RNA to regulate miR-379-5p/MAP3K2 axis. | Eur J Pharmacol | 3.17 | 西安交通大学第一附属医院 |
| 18 | 环状RNA hsa_circ_0023404通过调节miR-217 / ZEB1轴促进非小细胞肺癌的增殖,迁移和侵袭。 | Circular RNA hsa_circ_0023404 promotes proliferation, migration and invasion in non-small cell lung cancer by regulating miR-217/ZEB1 axis. | Onco Targets Ther | 3.046 | 重庆医科大学附属大学城医院 |
| 19 | FBXW7环状RNA在体外和体内通过NEK2,mTOR和PTEN信号传导途径调节结肠直肠癌的增殖,迁移和侵袭。 | FBXW7 circular RNA regulates proliferation, migration and invasion of colorectal carcinoma through NEK2, mTOR, and PTEN signaling pathways in vitro and in vivo. | BMC Cancer | 2.933 | 解放军总医院 |
| 20 | 小单链环形核酸的结构特征。 | Structural Properties of Small Single-Stranded Circular Nucleic Acids. | J Phys Chem B | 2.923 | 德克萨斯大学埃尔帕索分校 |
| 21 | Hsa_circ_0035483通过自噬调节海绵hsa-miR-335来促进人肾癌细胞的吉西他滨抗性。 | Hsa_circ_0035483 sponges hsa-miR-335 to promote the gemcitabine-resistance of human renal cancer cells by autophagy regulation. | Biochem Biophys Res Commun | 2.705 | 郑州大学人民医院 |
| 22 | 环状RNA hsa_circ_0085616在肝细胞癌细胞增殖和迁移中的作用。 | The role of circular RNA hsa_circ_0085616 in proliferation and migration of hepatocellular carcinoma cells. | Cancer Manag Res | 2.243 | 中山大学孙逸仙纪念医院 |
| 23 | 结肠直肠癌中hsa_circ_0079993通过microRNA-203a-3p.1和CREB1轴发挥致癌基因作用。 | Homo Sapiens Circular RNA 0079993 (hsa_circ_0079993) of the POLR2J4 Gene Acts as an Oncogene in Colorectal Cancer Through the microRNA-203a-3p.1 and CREB1 Axis. | Med Sci Monit | 1.98 | 武汉大学人民医院 |
| 24 | 筛选骨关节炎患者软骨中差异表达的环状RNA作为诊断标记物 | Screening for Differentially Expressed Circular RNAs in the Cartilage of Osteoarthritis Patients for Their Diagnostic Value. | Genet Test Mol Biomarkers | 1.121 | 西安交通大学等 |
.png)