5月15日,Nature子刊Cell Death & Differentiation在线发表了加拿大多伦多大学杨柏华教授团队的一项研究成果,报道发现YAP基因来源的circRNA可拮抗YAP的mRNA翻译起始过程,调控其母基因的翻译效率[1]。杨柏华教授是今年第五届circRNA论坛邀请的主讲嘉宾之一,本文报道的研究工作曾在去年的第四届circRNA研究论坛中与大家分享过。期待各位同仁能参加第五届circRNA研究论坛,届时一起聆听杨教授与大家分享他的最新研究成果。

YAP是Hippo通路的关键分子之一,与肿瘤发展进程密切相关。本文作者发现来自YAP1基因的4-5外显子的circRNA,circYAP(circBank ID:hsa_circYAP1_008)可以通过结合翻译起始蛋白eIF4G和PABP,抑制母基因YAP的mRNA翻译起始,调控YAP蛋白的表达量,首次发现circRNA通过调控翻译起始效率调控母基因功能。下面就让我们一起学习一下这篇文章如何一步步发现这一新颖的机制的:

图1 circYAP调控YAP mRNA翻译起始的机制 ([1])
circYAP抑制YAP蛋白表达
在乳腺癌标本中,circYAP呈现低表达的状态,做一些肿瘤和非肿瘤的细胞系中也表明circYAP在非肿瘤的细胞系中表达显著高于肿瘤细胞系,但YAP蛋白在肿瘤细胞系中显著增高。这一现象表明circYAP的表达水平与YAP蛋白存在负相关性,为进一步证实这一现象,作者通过构建过表达circYAP进行验证。

图2 circYAP在肿瘤中低表达,与YAP蛋白表达呈现负相关 ([1])
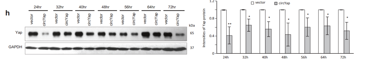
有趣的是,在过表达circYAP之后,YAP蛋白的表达水平显著降低。

图3 过表达circYAP显著降低YAP蛋白表达水平 ([1])
circYAP影响YAP mRNA的翻译状态
蔗糖密度梯度离心可以有效分离亚细胞组份,该技术可实现对结合单个核糖体的(monosome)和多个核糖体(polysome)的mRNA实现有效分离,常用于mRNA翻译研究。为进一步分析circYAP如何调控YAP蛋白表达水平的机制,作者用蔗糖密度梯度离心分离monosome和polysome,收取不同蔗糖密度层组分后PCR分析YAP mRNA的分布状态。结果发现过表达circYAP后,YAP的mRNA呈现显著的位移,表现为低密度对应的组分中YAP mRNA明显增多,而另外两种mRNA(MDM2和GAPDH)没有这种现象。这说明circYAP过表达后,结合在YAP mRNA上的核糖体数目显著降低,更多倾向于monosome状态。这一实验结果暗示circYAP很有可能是影响了YAP mRNA翻译起始状态,阻碍了核糖体有效组装和往下游的滑动翻译。

图4 circYAP影响YAP mRNA的翻译状态 ([1])
过表达circYAP不影响YAP蛋白的亚细胞定位和YAP mRNA的表达量。干扰circYAP也不影响YAP mRNA的表达量,但却能显著增加YAP蛋白的表达量。这些结果进一步表明circYAP并非通过影响YAP mRNA的表达状态影响YAP蛋白的表达丰度。m7GTP pull-down可以用于分析效率,作者分析了过表达circYAP,对应序列的linear YAP及全长YAP mRNA等过表达条件,结果显示几组均有正常的翻译过程,表现为eIF4G,eIF4E可以被有效捕获。

图5 circYAP不影响YAP亚细胞定位 ([1])
circYAP通过结合eIF4G和PABP抑制YAP mRNA的翻译起始
从上述结果不难看到,过表达circYAP并不能显著改变eIF4G和eIF4E结合在m7G的状态,说明circYAP不会广泛影响mRNA的翻译状态,或许是YAP基因特有的一种调控机制。为进一步探究这一现象,作者首先分析了circYAP与翻译起始过程有关的蛋白的相互作用情况,结果发现circYAP可以结合eIF4G和PABP。RNA pull-down实验证明circYAP可结合eIF4G和PABP,但与circYAP序列一致的线性RNA却不能。有趣的是,过表达circYAP并不影响eIF4G和PABP与YAP mRNA的结合。

图6 RNA pull-down验证circYAP特异性结合eIF4G和PABP ([1])
过表达circYAP不影响eIF4G和PABP的表达水平。干扰circYAP可减少eIF4G和PABP结合的circYAP量,过表达则增加。基于RNase消化实验进一步证实了circYAP与eIF4G和PABP的相互作用。作者选择了RNase A和RNase R进行实验,RNase A可以降解所有的RNA,而RNase R仅消化线性RNA。用eIF4G和PABP抗体IP后产物分别用RNase A和RNase R消化,看PABP和eIF4G被捕获的效率(正反向的IP验证实验),结果表明,当存在circYAP的时候PABP和eIF4G均能被有效的相互捕获,但当RNase A消化后,它们相互被捕获的效率显著下降。

图7 circYAP促进eIF4G和PABP相互作用 ([1])
除了eIF4G和PABP蛋白,作者也基于RNA pull-down验证了circYAP与YAP mRNA的相互作用情况。结果表明circYAP与YAP mRNA可以被相互捕获。

图8 circYAP与YAP mRNA可以被相互捕获 ([1])
circYAP与eIF4G和PABP及YAP mRNA结合位点分析
上述结果充分证明了circYAP,YAP mRNA与eIF4G和PABP的相互作用关系,接下来需要弄清楚circYAP分别通过什么序列与eIF4G和PABP相互作用的。作者的做法是基于生物信息学预测分析后设计封闭探针,然后验证相关相互作用被影响的情况。作者用RIsearch和RNAplex工具预测了circYAP与eIF4G和PABP相互作用位点的序列,分析到了两个打分比较高的序列区段,然后针对这两个区段分别设计了封闭探针。
RNA pull-down实验表明两个探针均可以有效的阻止circYAP捕获YAP mRNA的效率,但不影响内源circYAP和YAP mRNA的表达量。两个封闭探针也能有效阻断circYAP捕获eIF4G和PABP蛋白的效率,不影响它们的表达量,也不影响YAP mRNA捕获两种蛋白的效率。两种封闭探针还能促进YAP蛋白的表达量。

图9 circYAP与eIF4G和PABP相互作用区段分析 ([1])
进一步,基于分子模拟比对(docking)分析,作者进一步分析了circYAP与YAP mRNA,eIF4G和PABP相互作用的碱基位点,然后构建了这些位点的突变体(Mut-1,2),其中Mut-1为circYAP与YAP mRNA相互作用位点的突变体,Mut-2为circYAP与eIF4G和PABP相互作用的位点的突变体,Mut-3为不相关位点的突变对照。结果显示,过表达Mut-1和Mut-2显著增加YAP蛋白的表达水平,但Mut-3和野生型circYAP则抑制YAP蛋白的表达量。RNA pull-down实验也表明Mut-1和Mut-2不能有效捕获YAP mRNA及eIF4G和PABP蛋白。

图10 circYAP与YAPmRNA及eIF4G和PABP相互作用位点分析 ([1])
circYAP与肿瘤迁移侵袭有关
功能实验表明circYAP抑制克隆形成,抑制增殖,上述的两个封闭探针能抑制circYAP的这些功能。

图11 circYAP功能实验 ([1])
circYAP抑制肿瘤迁移,侵袭,封闭探针可抑制circYAP在这方面的功能。

图12 circYAP功能实验 ([1])
本文从分析circYAP与母基因蛋白表达状态的相关性分析入手,发现了全新的调控母基因蛋白翻译起始的新机制模型,为circRNA功能研究提供了全新的思路和参考。
参考文献
1. Nan Wu, Z.Y., Kevin Y. Du, Ling Fang, Juanjuan Lyu, Chao Zhang, Alina He, Esra Eshaghi, Kaixuan Zeng, Jian Ma, William W. Du, Burton B. Yang, Translation of yes-associated protein (YAP) was antagonized by its circular RNA via suppressing the assembly of the translation initiation machinery. Cell Death & Differentiation, 2019.
.png)