目录
2. circRNA与疾病相关性研究进展
2.1 circRNA与肿瘤
2.2 circRNA与心血管疾病
2.3 circRNA与其他人类疾病
2. circRNA与疾病相关性研究进展
circRNA与疾病的相关性一直是研究的重点领域,以肿瘤学为代表,2017年循环系统相关的研究也表现出迅速增长的态势。疾病相关性的研究大致思路相似,主要是首先基于高通量分析(二代测序或芯片法分析),找出疾病相关的特异性circRNA分子,然后预测分析其可能相互作用的miRNA分子和网络,进行通路分析。严谨的实验会基于各种验证实验对所提出的模型进行相关验证分析。
2.1 circRNA与肿瘤
肿瘤学依然是circRNA研究的主要阵地,在传统的思路基础上,2017年的肿瘤学相关报道也发生了一定的变化,主要体现为特定circRNA的研究报道明显增多,竞争性结合miRNA分子不仅仅局限在生物信息学预测,还增加了实验验证。由于肿瘤学是个非常庞大的领域,按照不同种类的肿瘤,细分如下:
2.1.1 肝癌相关circRNA研究进展:
Hepatology杂志报道CircMTO1在肝细胞癌中的作用机制
5月18日,国际肝脏学杂志顶尖Hepatology杂志在线发表了曹雪涛院士的研究论文,介绍肝癌中环形RNA的研究工作,介绍发现了环形RNA CircMTO1通过竞争性结合miR-9抑制肝细胞癌增殖[21]。曹雪涛院士和第二军医大学于益芝教授为共同通讯作者。

首先,本文揭示的circMTO1在HCC中表达特征非常显著,且与肿瘤的预后相关性很强,具有非常重要的临床研究和应用价值。意义大价值高的东西更容易受到优秀杂志的青睐。其次,本文提出的分子机制证据充分,论证严谨。本文发现的circMTO1竞争性结合miR-9的分子机制模型经过了反复的论证,RIP实验和FISH实验非常有力的支持了circMTO1竞争性结合miR-9的结论,后续在细胞和动物模型的实验也很好的支持了circMTO1通过竞争性结合miR-9发挥对肿瘤的影响的假设 [21]。本文所展示的实验结果严谨而有力,不拖泥带水,简洁明了而又强有力的论证了所提出的机制模型,在已发表的miRNA Sponge功能模型的文章中也是比较难得的。清晰有力的逻辑论证也是本文的一大亮点,这也是高水平杂志能认可该工作的一个重要原因。

图21 circMTO1的肿瘤内沉默促进体内HCC的生长(来自[21])
RNAZKSCAN1与circZKSCAN1以不同方式抑制肝细胞癌增殖和迁移
2月16日,Molecular Oncology杂志在线发表了中山大学附属第三医院刘波和杨扬为共同通讯作者的文章,介绍发现ZKSCAN1基因和它的circRNA产物circZKSCAN1以不同方式抑制肝细胞癌增殖和迁移[22]。

文中作者在102例肝细胞癌临床标本中分析了ZKSCAN1与circZKSCAN1的表达情况,发现癌组织中两种RNA分子均降低,两种分子过表达后均抑制肝细胞癌增殖和迁移,RNA-Seq结果表明两种分子的作用机制有所差别[22]。

图22 ZKSCAN1与circZKSCAN1以不同机制发挥作用(来自[22])
其他肝癌相关circRNA研究报道
| 通讯作者 | 文章题目 | 杂志 | 概要 |
| 四川大学
Li Yizhou和Li Menglong |
Computational identifying and characterizing circular RNAs and their associated genes in hepatocellular carcinoma | PLoS One | 基于数据信息分析找出肝细胞癌相关的circRNA |
| 宁波大学医学院
郭俊明教授和胡耀仁主任 |
Screening differential circular RNA expression profiles reveals hsa_circ_0004018 is associated with hepatocellular carcinoma | Oncotarget | 发现 hsa_circ_0004018与肝细胞癌有关 |
| 宁波大学医学院
胡耀仁主任 |
Decreased expression of hsa_circ_0003570 in hepatocellular carcinoma and its clinical significance | Journal of Clinical Laboratory Analysis | 在肝细胞癌中hsa_circ_0003570作为疾病诊断标志物的价值 |
| 郑州大学附属第一医院郭文治副主任
公共卫生学院Ye Hua |
Polymorphisms and expression pattern of circular RNA circ-ITCH contributes to the carcinogenesis of hepatocellular carcinoma | Oncotarget | 在肝细胞癌中发现circ-ITCH多态性和表达状态与肝细胞癌的疾病相关性 |
| 上海交通大学医学院附属新华医院 | Circular RNA Profiling and Bioinformatic Modeling Identify Its Regulatory Role in Hepatic Steatosis | BioMed Research International | 肝脏脂肪变性中circRNA变化分析 |
| 上海交通大学附属第六人民医院
Huang Xiu-Yan和Huang Xin-Yu |
Comprehensive circular RNA profiling reveals the regulatory role of the circRNA-100338/miR-141-3p pathway in hepatitis B-related hepatocellular carcinoma | Scientific Reports | circRNA-100338 /miR-141-3p通路在乙肝相关肝细胞癌中的作用 |
| 吉林大学基础医学院
王国庆教授 |
Construction and analysis of circular RNA molecular regulatory networks In liver cancer | Cell Cycle | 在肝癌细胞中基于系统生物学思路构建了分子调控回路网络。其中包含了circRNA,mRNA和miRNA等不同类型的RNA分子 |
| 中国医科大学附属第一医院
刘永锋和徐倩 |
MicroRNA-200b suppresses the invasion and migration of hepatocellular carcinoma by downregulating RhoA and circRNA_000839 | Tumor Biology | MicroRNA-200b通过下调RhoA和circRNA_000839抑制肝细胞癌侵袭和迁移 |
| 复旦大学附属中山医院 | Microarray profiling of circular RNAs and the potential regulatory role of hsa_circ_0071410 in the activated human hepatic stellate cell induced by irradiation | Gene | hsa_circ_0071410在放疗中辐射诱导活化的肝脏性状细胞活化过程的作用 |
| 首都医科大学附属北京佑安医院
丁惠国 |
Screening of up‑ and downregulation of circRNAs in HBV‑related hepatocellular carcinoma by microarray | Oncology Letters | HBV感染相关HCC中circRNA表达分析 |
| 浙江大学医学院附属邵逸夫医院
梁霄和蔡秀军 |
Circular RNA expression is suppressed by androgen receptor (AR)-regulated adenosine deaminase that acts on RNA (ADAR1) in human hepatocellular carcinoma | Cell Death & Disease | 雄激素受体AR通过RNA编辑酶ADAR1抑制肝癌细胞中circRNA表达 |
| 武汉大学中南医院
涂建成 |
The circular RNA hsa_circ_0001445 regulates the proliferation and migration of hepatocellular carcinoma and may serve as a diagnostic biomarker | Disease Markers | hsa_circ_0001445在肝癌中低表达可能是肝癌的潜在分子标记物 |
2.1.2 胃癌相关circRNA研究进展:
胃癌中circLARP4竞争性结合miR-424-5p调控LARP4的表达
9月11日,Molecular Cancer杂志在线发表了上海交通大学第六人民医院朱金水教授为通讯作者的文章,介绍发现胃癌中circLARP4通过竞争性结合miR-424-5p调控LARP4的表达[23]。

文章作者曾报道LATS1基因在Hippo通路中的作用,在胃癌中LATS1起到类似抑癌基因的作用。本文中作者首先分析了miR-424-5p与LATS1在胃癌中的表达关系以及与临床信息的对应关系,证明miR-424-5p与LATS1的表达量存在负相关。miR-424-5p表达越高,LATS1表达就越低,所对应的胃癌分级就越高,预后也越差。进一步的研究证明miR-424-5p可直接调控LATS1的表达。由于大量的文献报道表明circRNA可以通过竞争性抑制miRNA发挥作用,因此作者基于circRNA表达谱分析,circBase数据库检索及miRNA作用位点分析软件综合分析后筛选出了30种候选circRNA分子。由于胃癌中miR-424位高表达,因此作者挑选15种低表达的circRNA分子进行下一步分析,其中只有来源于LATS1基因第9,10外显子的circRNA(circLARP4)最符合要求。后续实验证明了circLARP4竞争性结合miR-424-5p,所用的实验技术包括双荧光素酶报告系统,RIP实验,FISH等。

图23 胃癌中circLARP4的作用机制(来自[23])
其他胃癌相关circRNA研究报道:
| 通讯作者 | 文章题目 | 杂志 | 概要 |
| 宁波大学医学院
郭俊明教授 |
Circular RNA 0000096 affects cell growth and migration in gastric cancer | British Journal of Cancer | 通过分析101例胃癌和癌旁组织,发现circRNA hsa_circ_0000096在胃癌组织中特异性低表达。 |
| 宁波大学医学院
郭俊明教授 |
Using circular RNA hsa_circ_0000190 as a new biomarker in the diagnosis of gastric cancer | Clinica Chimica Acta | 分析了104例胃癌和癌旁组织中hsa_circ_0000190的表达情况,表明hsa_circ_0000190在胃癌组织中特异性表达降低。 |
| 深圳市人民医院暨南大学医学院第二附属医院临床医学研究中心 戴勇 | Circular RNA and gene expression profiles in gastric cancer based on microarray chip technology | Oncology Reports | 芯片法分析筛选胃癌相关circRNA和mRNA表达差异 |
| 南方医院
李国新主任与Qi Xiaolong |
Circular RNAs signature predicts the early recurrence of stage III gastric cancer after radical surgery | Oncotarget | circRNA可用于III期胃癌根治术后预后因子 |
| 宁波大学医学院
郭俊明教授和叶国良 |
Decreased expression of hsa_circ_0001895 in human gastric cancer and its clinical significances | Tumor Biology | circRNA hsa_circ_0001895在胃癌中下调表达 |
| 宁波大学医学院
郭俊明教授 |
Global circular RNA expression profile of human gastric cancer and its clinical significance | Cancer Medicine | 胃癌中系统分析环形RNA表达情况及与临床症状对应关系 |
| 复旦大学上海肿瘤医院
王亚农 |
Circular RNAs play an important role in late-stage gastric cancer: Circular RNA expression profiles and bioinformatics analyses | Tumor Biology | 晚期胃癌中circRNA表达特征分析 |
| 宁波大学医学院
郭俊明教授 |
Low expression of hsa_circ_0006633 in human gastric cancer and its clinical significances | Tumor Biology | 胃癌中circRNA hsa_circ_0006633表达特征与临床症状的关系 |
| 广东医科大学
Pan Haiyan 和Li Tao |
Overexpression of circular RNA ciRS-7 abrogates the tumor suppressive effect of miR-7 on Gastric cancer via PTEN/PI3K/AKT signaling pathway | Journal of Cellular Biochemistry | 胃癌中过表达ciRS-7对miR-7的影响 |
| 宁波大学医学院
肖丙秀 |
Reduced expression of circRNA hsa_circ_0003159 in gastric cancer and its clinical significance | Journal of Clinical Laboratory Analysis | 胃癌中hsa_circ_0003159表达特征与临床症状关系 |
| 海南医科大学附属第一医院
Huang You-Sheng |
Expression profile of circular RNAs in human gastric cancer tissues | Molecular Medicine Reports | 胃癌中circRNA表达谱分析 |
| 复旦大学上海癌症中心
Wang Yanong |
Circular RNAs play an important role in late-stage gastric cancer: Circular RNA expression profiles and bioinformatics analyses | Tumor Biology | 晚期胃癌中circRNA表达谱分析 |
| 宁波大学医学院 郭俊明教授
宁波大学医学院附属医院 叶国良 |
Low expression of hsa_circ_0006633 in human gastric cancer and its clinical significances | Tumor Biology | 胃癌中低表达hsa_circ_0006633 的临床意义 |
| 福州总医院
王烈和黄俏佳 |
Circular RNAs expression profiles in human gastric cancer | Scientific Reports | 从五对癌组织和癌旁组织中分析了circRNA的表达情况,共发现了712种差异表达的circRNAs,其中191种上调。 |
| 南方医科大学南方医院
李国新和Qi Xiaolong |
Circ-104916 is downregulated in gastric cancer and suppresses migration and invasion of gastric cancer cells | Onco Targets and Therapy | Circ-104916在胃癌中低表达,与胃癌转移有关 |
| 宁波大学医学院
张新军 |
Clinical values of circular RNA 0000181 in the screening of gastric cancer | Journal of Clinical Laboratory Analysis | hsa_circ_0000181在胃癌临床中的价值 |
| 北大人民医院
王杉主任 |
Analysis of co-expression networks for circular RNAs and mRNAs reveals that circular RNAs hsa_circ_0047905, hsa_circ_0138960 and has-circRNA7690-15 are candidate oncogenes in gastric cancer | Cell Cycle | 胃癌中发现具有癌基因特征的circRNA |
| 巴西帕拉州贝伦联邦大学
Ândrea Ribeiro-dos-Santos |
The comprehensive expression analysis of circular RNAs in gastric cancer and its association with field cancerization | Scientific Reports | 分析了正常胃组织,胃癌组织及癌旁组织中circRNA的表达情况,发现癌旁组织中circRNA表达丰度很高,与正常胃组织有很大区别,说明癌旁组织并不是特别理想的对照 |
| 巴西圣保罗A.C.Camargo癌症中心医学基因组学实验室
Emmanuel Dias-Neto和Diana N. Nunes |
A total transcriptome profiling method for plasma-derived extracellular vesicles: applications for liquid biopsies | Scientific Reports | 细胞外囊泡(EVs)是细胞之间远端通讯的重要途径,作者利用RNA-seq分析了临床来源的血清EVs中不同RNA的表达和分布情况,为基于EVs的液体活检提供了参考 |
| 南京医科大学附属南京第一医院
曹红勇和曹秀峰 |
Hsa_circ_0000520, a potential new circular RNA biomarker, is involved in gastric carcinoma | Cancer Biomarkers | circ_0000520可作为胃癌诊断标志物 |
| 宁波大学医学院
郭俊明 |
Downregulated expression of has_circ_0074362 in gastric cancer and its potential diagnostic values | Biomarkers in medicine | has_circ_0074362在胃癌中的价值 |
2.1.3 膀胱癌相关circRNA进展报道
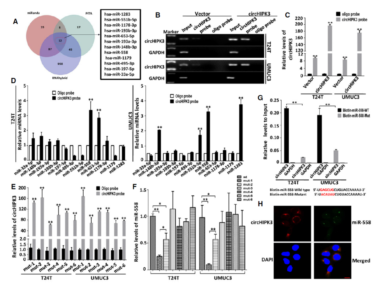
circHIPK3在膀胱癌中竞争性抑制miR-558
8月9日,EMBO Reports杂志在线发表了华中科技大学同济医学院曾甫清教授和蒋国松教授为共同通讯作者的文章,介绍发现膀胱癌中circHIPK3通过竞争性结合miR-558抑制乙酰肝素酶表达[24]。

作者利用RNA-Seq分析了膀胱癌中circRNA差异表达的情况,共得到6154种差异表达的circRNAs,其中circHIPK3显著低表达。过表达实验表明circHIPK3可明显抑制膀胱癌细胞系的增殖和迁移。分子机制方面,作者利用了miRanda、PITA和RNAhybrid三种工具预测了可能相互作用的miRNA,比对分析后找出了12种完全重叠的miRNA分子。然后又通过RNA Pull-down实验证明了miR-558与circHIPK3有相互作用,荧光原位杂交实验进一步验证了这一相互作用[24]。

图24 circHIPK3竞争性结合miR-558(来自[24])
circRNA MYLK作为内源竞争性RNA在膀胱癌在发挥重要作用
7月4日,Cancer Letters杂志在线发表了重庆医科大学陈俊霞教授为通讯作者的研究论文,介绍发现circRNA MYLK作为ceRNA通过调节VEGFA/VEGFR2信号通路促进膀胱癌发生发展[25]。文章通过严谨的实验有力地论证了circRNA MYLK作为ceRNA通过调节VEGFA/VEGFR2通路促进BC的发生发展,是一篇难得的miRNA sponge功能模型的文章。

作者利用微阵列芯片分析了4对人膀胱癌(BC)标本的癌及癌旁组织,发现circRNA MYLK与VEGFA在癌组织中共同高表达。然后通过扩大组织标本数量,与临床症状相关性分析等,表明circRNA MYLK可促进膀胱癌发生发展。然后基于预测和验证实验,最终阐明了circRNA MYLK作为ceRNA通过调节VEGFA/VEGFR2通路促进膀胱癌的发生发展[25]。

图25 circRNA MYLK的筛选及其与VEGFA的关系(来自[25] )
CircRNA在膀胱癌早期诊断中的研究
11月28日,新开放的Nature子刊npj Genomic Medicine在线发表了丹麦奥胡斯大学Jakob Skou Pedersen教授和Trine Line Hauge Okholm教授为共同通讯作者的文章,介绍在膀胱癌中筛选circRNA的工作,Jørgen Kjems教授为共同作者[26]。

本文作者从早期的膀胱癌角度出发,考察circRNA是否可以作为膀胱癌潜在的临床诊断标记物,收集了457个NMIBC((348Ta和109T1)非肌层浸润性膀胱癌标本进行全转录组高通量测序分析。鉴定出15223个circRNAs分子,设定阈值筛选出279个高表达的circRNAs分子进一步与临床特征进行关联分析,发现13个circRNAs与膀胱癌的进展存在相关性,可以作为潜在的诊断分子指标[26]。

图26 膀胱癌相关circRNA筛选鉴定 (来自[26])
其他膀胱癌相关circRNA研究报道:
| 通讯作者 | 文章题目 | 杂志 | 概要 |
| 天津医科大学第二医院
胡海龙和田大伟 |
Expression of circular RNA circASXL1 correlates with TNM classification and predicts overall survival in bladder cancer | Int J Clin Exp Pathol | 膀胱癌中circASXL1表达与肿瘤分期相关 |
| 福建医科大学附属漳州市医院
许振强 |
Circular RNA hsa_circ_0003221 (circPTK2) promotes the proliferation and migration of bladder cancer cells | Journal of Cellular Biochemistry | circPTK2促进膀胱癌细胞增殖和迁移 |
| 南京医科大学第一附属医院泌尿外科
Lu Qiang |
Identification of circular RNA signature in bladder cancer | Journal of Cancer | 膀胱癌中circRNAs表达谱研究 |
| 华中科技大学同济医学院协和医院泌尿外科
肖行远 |
Overexpression of CircRNA BCRC4 Regulates Cell Apoptosis and MicroRNA-101/EZH2 Signaling in Bladder Cancer | J Huazhong Univ Sci Technol | CircRNA BCRC4在膀胱癌中调控MicroRNA-101/EZH2通路 |
2.1.4 结肠直肠癌相关circRNA进展报道
circRNA CCDC66促进结肠癌增殖和转移
3月1日,Cancer Research杂志在线发表了台湾国立成功大学Shaw-Jenq Tsai博士和H. Sunny Sun博士为共同通讯作者的文章,介绍发现circRNA CCDC66促进结肠癌增殖和转移[27]。

文章作者首先通过测序筛选结肠癌相关的circRNA,作者挑选了circCCDC66进行深入探索分析。发现circCCDC66能促进结肠癌细胞增殖和迁移。在结肠癌中circCCDC66过表达,并与结肠癌的临床症状表型有相关性[27]。

图27 circCCDC66促进结肠癌增殖和转移(来自[27])
其他结肠直肠癌相关circRNA研究报道
| 通讯作者 | 文章题目 | 杂志 | 概要 |
| 南京医科大学陈芸与南京医科大学附属肿瘤医院 Yan Feng | Circular BANP, an upregulated circular RNA that modulates cell proliferation in colorectal cancer | Biomedicine & Pharmacotherapy | 利用芯片法筛选了三例结肠癌和癌旁组织,表明circ-BANP在结肠癌中表现为高表达 |
| 南京医科大学
Yun Chen和Feng Yan |
Circular BANP, an upregulated circular RNA that modulates cell proliferation in colorectal cancer | Biomedicine & Pharmacotherapy | circBANP在结肠癌中过表达 |
| 贝勒医学院Ajay Goel
复旦大学医学院Ma Yanlei |
Circular RNA ciRS-7 – A promising prognostic biomarker and a potential therapeutic target in colorectal cancer | Clinical Cancer Research | ciRS-7在结肠直肠癌中作为标志物和治疗靶点可行性的研究 |
| 复旦大学附属中山医院
Ren Li和Xu Jianmin |
Silencing CDR1as inhibits colorectal cancer progression through regulating microRNA -7 | OncoTargets and Therapy | 沉默CDR1as可抑制结肠癌细胞增殖 |
| 昆明医学院附属第三医院
Li Wen-Hui和 Li Yun-Feng |
Microarray Analysis of Circular RNA Expression Profile Associated with 5-Fluorouracil-Based Chemoradiation Resistance in Colorectal Cancer Cells | BioMed Research International | 结肠癌中5-FU化疗耐药性相关circRNA筛选分析 |
| 山东潍坊益都中心医院
张秀丽 |
Hsa_circ_0020397 regulates colorectal cancer cell viability, apoptosis, and invasion by promoting the expression of the miR-138 targets TERT and PD-L1 | Cell Biology International | Hsa_circ_0020397在结肠直肠癌中的作用 |
| 昆明医科大学附属第一医院
王昆华院长和罗华友 |
Altered expression profiles of circular RNA in colorectal cancer tissues from patients with lung metastasis | International Journal of Molecular Medicine | 肺转移的结肠癌患者circRNA的表达变化情况 |
| 南昌大学医学院医学院附属第一医院
Hu Jiaping |
The expression profile and clinical significance of circRNA 0003906 in colorectal cancer | OncoTargets and Therapy | 分析了6种结肠癌细胞系及122对结肠癌肿瘤标本中circRNA 0003906的表达情况,结果表明结肠癌中circRNA 0003906表达明显下调 |
| 浙江省人民医院肝胆胰外科
Liu Xi-Qiang和吴伟顶 |
Circular RNA hsa_circ_000984 promotes colon cancer growth and metastasis by sponging miR-106b | Oncotarget | hsa_circ_000984环形RNA分子通过竞争性结合miR-106促进结肠癌侵袭与增殖 |
2.1.5 其他类型肿瘤相关circRNA进展报道
胶质瘤中circRNA circ-TTBK2作用机制
2月20日, Journal of Hematology & Oncology杂志在线发表了中国医科大学附属盛京医院刘云会教授为通讯作者的文章,介绍关于在胶质瘤中circRNA circ-TTBK2作用机制的研究[28]。

文章发现胶质瘤中circ-TTBK2上调而线性基因没有明显改变。过表达circ-TTBK2促进细胞增殖和迁移并抑制凋亡作用。与此同时,作者发现miR-217在胶质瘤中下降。进一步,作者发现circ-TTBK2可以作为miR-217的miRNA Sponge但线性的TTBK2没有这种作用。强制表达miR-217可抵消circ-TTBK2的作用[28]。

图28 胶质瘤中circRNA circ-TTBK2作用机制 (来自[28])
口腔癌中circRNA_100290竞争性结合miR-29家族发挥作用
4月3日,Nature子刊Oncogene在线发表了湘雅二院L Chen为通讯作者的文章,介绍发现circRNA circRNA_100290通过竞争性结合miR-29家族分子在口腔癌中的作用[29]。

在本中,作者通过芯片法分析了口腔癌和癌旁组织中circRNA的表达情况,发现了circRNA circRNA_100290与CDK6均在口腔癌中高表达。干扰circRNA_100290后CDK6表达也下降,且细胞增殖受到抑制。进一步通过荧光素酶报告系统,作者发现了circRNA_100290可以通过竞争性结合miR-29家族的分子发挥作用[29]。

图29 circRNA_100290通过竞争性结合miR-29家族分子在口腔癌中的作用(来自[29])
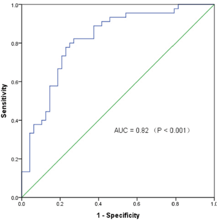
环形RNA 作为新型的乳腺癌诊断标志物
4月21日,Oncotarget杂志在线发表了南京医科大学王建明教授为通讯作者的文章,介绍一项在乳腺癌中开展的环形RNA差异表达分析,验证及疾病相关性分析的工作[30]。

本中作者共鉴定到1155种差异表达的环形RNA,其中715种上调。进一步鉴定后表明 hsa_circ_103110、 hsa_circ_104689 和hsa_circ_104821明显上调,而hsa_circ_006054、 hsa_circ_100219和 hsa_ circ_406697明显下调。最后在疾病相关性分析中发现联合 hsa_circ_006054、hsa_circ_100219 和 hsa_circ_406697后ROC曲线的AUC值能达到0.82,可作为有效的乳腺癌疾病诊断标志物[30]。

图30 三种环形RNA联合作为乳腺癌诊断标志物(来自[30])
下咽鳞状细胞癌中差异表达环形RNA鉴定分析
4月27日,Oncotarget杂志在线发表了山东大学齐鲁医院耳鼻喉科潘新良主任和雷大鹏主任为共同通讯作者的文章,介绍一项在下咽鳞状细胞癌中环形RNA的研究工作[31]。

作者通过环形RNA芯片在4例下咽鳞状细胞癌(HSCC)和对应的癌旁组织中筛选分析差异表达的环形RNA,共得到2392种差异表达的环形RNA,其中1304种为上调。接下来作者又在32例标本中验证了所筛选到的差异最大的各10种环形RNA。作者也针对这些差异表达的环形RNA进行了竞争性结合miRNA预测和通路预测分析。

图31 下咽鳞状细胞癌中差异表达的环形RNA(来自[31])
ANRIL在黑色素瘤中存在多种Isoform形式
6月27日,International Journal of Molecular Sciences杂志在线发表了新西兰奥克兰大学Graeme J. Finlay教授和Marjan E. Askarian-Amiri教授为共同通讯作者的文章。介绍发现在黑色素瘤中非编码RNA基因ANRIL存在多种Isoform形式,其中也包括circRNA[32]。

有报道表明非编码RNA 基因ANRIL的剪切方式存在组织特异性的特征,但有关该基因的剪切方式还缺少系统性的研究。本文作者选择两株黑色素瘤细胞进行分析,发现了ANRIL的剪切方式存在细胞类型特异性,也发现了该基因对应的circRNA。线性的ANRIL的主要定位于核内,而circ-ANRIL定位于胞质[32]。

图32 ANRIL功能通路(来自[32])
白血病中MYC扩增区对circRNAs表达影响
11月28日,Leukemia杂志在线发表了意大利巴里奥尔多大学生物系Clelia Tiziana Storlazzi教授为通讯作者的文章,介绍在急性髓系白血病(AML)中Myc的基因组结构,进化和转录影响[33]。

急性髓性白血病AML基因组通常不稳定存在均质染色区(homogeneously staining regions,HSR)和双微体(double minutes,DMs)等基因扩增区域,本文研究者着重研究了白血病染色体8q24区域发现了MYC双微体扩增区,同时也发现环形RNA circPVT1的异常扩增,表明双微体扩增可引起circRNAs表达异常。作者收集了20例 AML基因组扩增样本,采用illumina的TruSeq捕获试剂盒捕获8q22.3-24.1区域进行RNA-seq检测,考察该区域基因表达情况[33]。

图33 CircPVT1在8q24区域同样异常高表达 (来自[33])
其他类型肿瘤相关circRNA研究报道:
| 通讯作者 | 文章题目 | 杂志 | 概要 |
| 山东大学齐鲁医院
Daoxin Ma |
Characterization of hsa_circ_0004277 as a New Biomarker for Acute Myeloid Leukemia via Circular RNA Profile and Bioinformatics Analysis | International Journal of Molecular Sciences | hsa_circ_0004277在急性髓系白血病中的作用 |
| 第二军医大学附属长征医院
骆纯和 Qian Jun |
Differential Expression of Circular RNAs in Glioblastoma Multiforme and Its Correlation with Prognosis | Translational Oncology | 多形性成胶质细胞瘤circRNA差异分析 |
| 第二军医大学长海医院
唐昊和纪方 |
Increased circular RNA UBAP2 acts as a sponge of miR-143 to promote osteosarcoma progression | Oncotargert | 在骨肉瘤中circular RNA UBAP2通过竞争性结合miR-143促进疾病进程 |
| 聊城人民医院
李文磊 |
Circular RNA circ-ABCB10 promotes breast cancer proliferation and progression through sponging miR-1271 | American Journal of Cancer Research | circ-ABCB10通过竞争性结合miR-1271促进乳腺癌增殖 |
| 东南大学医学院
吴国球 |
hsa_circ_0013958: a circular RNA and potential novel biomarker for lung adenocarcinoma | FEBS Journal | hsa_circ_0013958可以作为肺腺癌的标志物 |
| 中山大学孙逸仙纪念医院
龚畅 |
HIF1α-associated circDENND4C Promotes Proliferation of Breast Cancer Cells in Hypoxic Environment | Anticancer Research | HIF1α相关的circRNA circDENND4C促进缺氧条件下乳腺癌细胞增殖 |
| 河南大学淮河医院骨科
李继锋 |
Circular RNA GLI2 promotes osteosarcoma cell proliferation, migration, and invasion by targeting miR-125b-5p | Tumor Biology | CirRNA GLI2通过竞争性结合miR-125b-5p促进骨肉瘤细胞增殖和迁移 |
| 江南大学附属医院
李莉华和郭子健 |
Screening circular RNA related to chemotherapeutic resistance in breast cancer | Epigenomics | 乳腺癌化疗耐药相关的circRNA分析鉴定 |
| 复旦大学生命科学学院 李瑶
上海国家生物芯片工程中心 Huang Jianfeng |
Androgen-responsive circular RNA circSMARCA5 is up-regulated and promotes cell proliferation in prostate cancer | BBRC | 利用芯片法发现circ-SMARCA5在前列腺癌中高表达 |
| 河南大学淮河医院 | Circular RNA hsa_circ_0001564 facilitates tumorigenesis of osteosarcoma via sponging miR-29c-3p | Tumor Biology | hsa_circ_0001564竞争性结合miR-29c-3p促进骨肉瘤肿瘤发生 |
| 广东医科大学
徐军发教授 |
The circular RNA of peripheral blood mononuclear cells: Hsa_circ_0005836 as a new diagnostic biomarker and therapeutic target of active pulmonary tuberculosis | Molecular Immunology | 活动性肺结核中开展的疾病相关性circRNA筛选分析 |
| 复旦大学附属上海医科大学法医系
沈忆文和谢建辉 |
Evaluation of the inclusion of circular RNAs in mRNA profiling in forensic body fluid identification | International Journal of Legal Medicine | 探索基于ALAS2和MMP7来源的circRNA用于体液识别 |
| 中南大学湘雅医院曾朝阳和中山大学附属肿瘤医院 唐海林 | circGFRA1 and GFRA1 act as ceRNAs in triple negative breast cancer by regulating miR-34a | Journal of Experimental & Clinical Cancer Research | 三阴乳腺癌中发现circGFRA1和GFRA1通过竞争性结合miR-34a在肿瘤发生发展过程中起作用 |
| 大理大学附属第一医院Zhang Ruo-Peng
大理大学基础医学院Xiong Wei |
Circulating circular RNA hsa_circ_0001785 acts as a diagnostic biomarker for breast cancer detection | Clinica Chimica Acta | 乳腺癌外周血中疾病特异性的circRNA分子筛选与临床相关性的情况 |
| 山东大学附属山东省立医院
霍然 |
Circular RNA profile of infantile hemangioma by microarray analysis | PLoS One | 婴幼儿血管瘤circRNA表达分析 |
| 青岛大学附属医院
刘勇 |
Hsa_circ_0009910 promotes carcinogenesis by promoting the expression of miR-449a target IL6R in osteosarcoma | BBRC | circ_0009910促进骨肉瘤形成 |
| 淄博中心医院
Dong Yu-Jin和Cao Li-Li |
Circular RNA expression profiles reveal that hsa_circ_0018289 is up-regulated in cervical cancer and promotes the tumorigenesis | oncotarget | hsa_circ_001828在宫颈癌中高表达并促进肿瘤发展 |
| 福建医科大学附属协和医院胸外科
陈椿 |
Microarray analysis reveals altered expression of multiple circular RNAs in the pathogenesis of esophageal squamous cell | Translational cancer research | 食管癌中circRNA表达谱研究 |
| 上海交通大学仁济医院肿瘤科徐迎春
瑞金医院Zhang Fengchun |
Circular RNA profile indicates circular RNA VRK1 is negatively related with breast cancer stem cells | Oncotarget | 环形RNA分子circVRK1抑制乳腺癌干细胞BCSCs的扩增和自我更新能力 |
| 河南科技大学临床医学院附属第一医院神经疾病研究所Yan Junqiang和河南省肿瘤研究所肿瘤表观遗传重点实验室Gao Shegan | Comparative transcriptome analysis of the global circular RNAs expression profiles between SHEE and SHEEC cell lines | Am J Transl Res | 永生化食道上皮细胞和恶性食道癌细胞中circRNAs表达谱模式研究 |
| 南京医科大学附属肿瘤医院
Wen Jing |
Emerging roles of circular RNA hsa_circ_0000064 in the proliferation and metastasis of lung cancer | Biomed Pharmacother | 环形RNA分子hsa_circ_0000064促进肺癌细胞增殖和侵袭 |
| 河南大学淮河医院骨科
李继锋 |
Circular RNA hsa_circ_0001564 regulates osteosarcoma proliferation and apoptosis by acting miRNA sponge | Biochem Biophys Res Commun | 骨肉瘤中hsa_circ_0001564的功能研究 |
| 复旦大学附属中山医院消化科
孙剑勇 |
CircRNA_100782 regulates pancreatic carcinoma proliferation through the IL6-STAT3 pathway | OncoTargets and Therapy | 胰腺癌中CircRNA_100782调控IL6-STAT3通路 |
| 上海中医药大学第七人民医院神经内科Zhan Qing
上海交通大学上海市第九人民医院Xu Ming |
CircRNA Expression Profile in Early-Stage Lung Adenocarcinoma Patients | Cellular Physiology and Biochemistry | 肺腺癌早期阶段患者CircRNA表达谱 |
2.2 circRNA与心血管疾病
循环系统在2017年度circRNA研究报道出现爆发式增长,多篇高水平研究论文发表,从国家自然科学基金的受理情况来看,也是仅次于肿瘤学的重要领域方向。
circRNA参与平滑肌α-actin基因表达调控
7月11日,知名杂志Circulation Research在线发表了河北医科大学温进坤教授为通讯作者的文章,介绍发现血管平滑肌细胞中调控α-actin基因表达的通路,其中circRNA circACTA2发挥重要作用[34]。

血管平滑肌细胞(VSMC)在调节血压等方面发挥重要作用,α-actin(α-SMA)是最重要的细胞骨架成分。已知TGF-β1可影响α-SMA表达,但关于α-SMA在分子细胞水平表达调控机制还没有研究清楚。本文作者发现EGF家族成员NRG-1的可溶剪切变体形式NRG-1-ICD可影响α-SMA的表达。进一步的研究表明NRG-1-ICD通过结合到α-SMA的第一内含子上面,募集转录因子IKZF1,促进α-SMA基因来源的circRNA circACTA2的形成,circACTA2通过竞争性结合miR-548f-5p抑制后者对α-SMA的表达抑制作用。在本文的研究结果中表明circACTA2的形成似乎与QKI和ADAR2都有关系,但作者没有对此展开太详细的探讨[34]。

图34 血管平滑肌细胞中circACTA2竞争性结合miR-548f-5p(来自[34])
circHIPK3在糖尿病视网膜血管障碍中的作用
8月31日,著名循环学杂志Circulation在线发表了复旦大学眼耳鼻喉科医院颜标教授与赵晨教授为共同通讯作者的文章,介绍发现circHIPK3在糖尿病视网膜血管障碍中的作用[35]。

本文报道发现在糖尿病引起的视网膜血管功能障碍中circHIPK3(hsa_circ_0000284)显著升高,进一步的研究表明circHIPK3可以竞争性结合miR-30a-3p、miR-30d-3p和miR-30e-3p,它们可以通过调控VEGFC、 FZD4和WNT2基因,形成一种全新的调控回路,在糖尿病引起视网膜血管功能障碍中发挥作用[35]。

图35 circHIPK3及相关通路在视网膜血管功能障碍中的作用(来自[35])
circRNA MFACR竞争性结合miR-652-3p抑制MTP18的翻译
5月12日,Nature子刊Cell Death & Differentiation杂志在线发表了青岛大学医学院李培峰教授和中国医学科学院北京阜外医院张宇辉为共同通讯作者的文章,介绍发现环形RNA MFACR通过竞争性结合miR-652-3p抑制MTP18的翻译,进而抑制线粒体分裂并影响细胞凋亡作用,最终在人类心脏疾病中发挥作用[36]。

本文首先发现了心肌梗死(MI)标本中MTP18过表达,又通过预测分析和实验验证,找到miR-652-3p通过结合MTP18的3’UTR序列并进一步证明了miR-652-3p与MI中线粒体分裂和细胞凋亡的关系。miRNA Sponge是环形RNA的重要功能模型,于是作者继续寻找能竞争性结合miR-652-3p的环形RNA,首先基于数据库检索,找出MI特异性变化的环形RNA,然后通过PCR验证,最终发现了MFACR。最后实验结果表明在心肌缺血再灌注模型中MFACR通过竞争性结合抑制了miR-652-3p,而miR-652-3p通过结合MTP18的mRNA并抑制其翻译过程,MTP18蛋白则促进线粒体分裂和细胞凋亡作用,在心肌梗死中发挥重要作用[36]。本文的思路与绝大多数环形RNA研究的思路不同,先是找到了疾病相关的蛋白,然后又找到了对应的调控miRNA分子,最后才预测和鉴定到环形RNA。

图36 MFACR竞争性结合miR-652-3p在心肌梗死中发挥作用(来自[36])
敲低circRNA有助于提高血管内皮细胞功能
7月8日,Theranostics在线发表了复旦大学眼耳鼻喉医院Yan Biao和南京医科大学第四临床医医院Jiang Qin为共同通讯作者的文章,介绍发现敲低circZNF609可改善血管内皮功能障碍[37]。

血管功能障碍与癌症等多种疾病有关,本文作者发现敲低circRNA-ZNF609可改善血管内皮细胞的功能障碍。在体内模型中,敲低circRNA-ZNF609可降低视网膜血管减少并抑制病理性血管异常。体外实验也表明敲低circRNA-ZNF609可促进血管内皮细胞的功能。机制方面作者发现circRNA-ZNF609可竞争性结合miR-615-5p[37]。

图37 体内模型中干扰circRNA-ZNF609促进血管内皮细胞功能 (来自[37])
QKI蛋白通过调控circRNAs抑制化疗药物阿霉素介导的心脏损伤
11月13日,Circulation Research杂志在线发表了德国汉诺威医学院Shashi Kumar Gupta和Thomas Thum为共同通讯作者的文章,介绍发现QKI5介导的circRNAs形成作用参与抑制化疗药物阿霉素介导的心脏损伤[38]。

化疗药物阿霉素处理小鼠心肌细胞的实验模型中,研究者用全转录组高通量测序发现,5个RNA结合蛋白在此过程中发生了差异表达,其中QKI显著下调,响应阿霉素的作用最强烈。敲低QKI蛋白可增加阿霉素处理心肌细胞的凋亡和萎缩,而外源过表达QKI可逆转阿霉素的作用,体内实验同样发现该现象。进一步研究表明QKI5可调控Ttn, Fhod3, and Strn3基因起源的circRNAs分子来实现抑制阿霉素的作用[38]。

图38 QKI5调控circRNA生成抑制阿霉素的作用 (来自[38])
其他circRNA与心血管疾病相关的研究报道:
| 通讯作者 | 文章题目 | 杂志 | 概要 | ||
| 郑州大学附属河南省人民医院心血管内科 | Peripheral blood circular RNA hsa_circ_0124644 can be used as a diagnostic biomarker of coronary artery disease | Scientific reports | 利用芯片法筛选冠状动脉病(CAD)相关的circRNA分子,表明 Hsa_circ_0124644可以作为CAD疾病诊断的标志物 | ||
| 广东省人民医院广东心血管病研究所单志新
中山大学医学院法医病理系成建定教授 |
CircRNA_000203 enhances the expression of fibrosis-associated genes by derepressing targets of miR-26b-5p, Col1a2 and CTGF, in cardiac fibroblasts | Scientific reports | 发现circRNA CircRNA_000203竞争性结合miR-26b-5p,促进了心肌纤维化作用相关基因的表达,调控与心脏成纤维细胞纤维化病变相关的基因的表达。 | ||
| 新加坡国立大学转化医学研究所
Roger S.Y. Foo |
A landscape of circular RNA expression in the human heart | Cardiovascular research | 人类和小鼠心脏组织circRNA的表达谱分析 | ||
| 南京医科大学附属医院
Cheng Qing和Jia Ruizhe |
Circular RNAs expressed in chorionic villi are probably involved in the occurrence of recurrent spontaneous abortion | Biomedicine & Pharmacotherapy | circRNA与复发性流产 | ||
| 卢森堡卢森堡健康研究所心血管研究所
Yvan Devaux |
Circular RNAs in heart failure | European Journal of Heart Failure | 心力衰竭中circRNA研究 | ||
| 浙江省人民医院
徐鹤云主任 |
A novel identified circular RNA, circRNA_010567, promotes myocardial fibrosis via suppressing miR-141 by targeting TGF-beta1 | Biochem Biophys Res Commun | 发现circRNA circRNA_010567促进心肌纤维化的机制 | ||
| 中国医学科学院北京阜外医院
Cai Jun |
Profiling and bioinformatics analyses reveal differential circular RNA expression in hypertensive patients | Clinical and Experimental Hypertension | 高血压相关环形RNA的分析和研究 | ||
| 德国海德堡大学Johannes. Backs
海德堡大学附属医院Christoph. Dieterich |
Identification of circular RNAs with host gene-independent expression in human model systems for cardiac differentiation and disease | Journal of Molecular and Cellular Cardiology | 心脏分化模型及相关疾病中探索不受母基因表达影响的circRNA表达情况 | ||
| 吉林大学附属第二医院
Song Chun-Li |
Effect of Circular ANRIL on the Inflammatory Response of Vascular Endothelial Cells in a Rat Model of Coronary Atherosclerosis | Cellular Physiology and Biochemistry | 大鼠冠状动脉硬化模型中发现circRNA ANRIL的功能,抑制circ-ANRIL表达可降低血管内皮细胞的凋亡及炎症性因子的分泌 | ||
| 南方医院
Zhong Lintao和Bin Jianping |
Circular RNA expression profile and potential function of hsa_circRNA_101238 in human thoracic aortic dissection | Oncotarget | 人体胸主动脉夹层中circRNA差异表达分析的研究工作。表明circRNA_101238可抑制miR-320a的表达,影响MMP9的表达 | ||
| 美国杜兰大学医学院
T. Cooper Woods |
Carotid Plaque Rupture Is Accompanied by an Increase in the Ratio of Serum circR-284 to miR-221 Levels | Circulation Cardiovascular Genetics | 颈动脉斑块破裂中会出现血清circR-284与miR-221比值升高 | ||
| 中南大学湘雅三院
叶启发教授 |
The expression profiles of circRNAs in lung tissues from rats with lipopolysaccharide-induced acute respiratory distress syndrome: A microarray study | BBRC | 大鼠急性呼吸窘迫综合征模型中circRNA研究 | ||
| 南京医科大学附属第一医院 | Identification of circular RNAs in human aortic valves | Gene | 人类主动脉瓣中circRNA表达分析 | ||
| 卢森堡健康研究所心血管研究室
Yvan Devaux |
The circular RNA MICRA for risk stratification after myocardial infarction | IJC Heart & Vasculature | circRNA MICRA作为心肌梗塞危险预后因子 | ||
2.3 circRNA与其他人类疾病
除了肿瘤和心血管疾病,2017年还有许多人类疾病有circRNA的相关研究报道,由于体量巨大,我们只选择有代表性的几篇做简答介绍,后面会附上所有相关的文献的基本信息。
circ-ANXA2可作为多发性硬化症疾病标志物
6月23日,Human Molecular Genetics杂志在线发表了西班牙Biodonostia健康研究所Otaegui, David为通讯作者的文章,介绍在多发性硬化症(multiple sclerosis)中circRNA circ-ANXA2可作为疾病标志物的研究[39]。

多发性硬化症是一种自身免疫性疾病,本中作者基于芯片分析筛选了疾病相关的circRNAs,共找到了406种表达差异的circRNA。最终发现来源于ANXA2基因的circRNA可作为多发性硬化症的标志物[39]。

图39 circ-ANXA2可作为多发性硬化症的标志物(来自[39])
circRNA与肝脏脂肪变性的关系
9月5日,Oxidative Medicine and Cellular Longevity杂志在线发表了上海交通大学新华医院范建高主任为通讯作者的文章,介绍发现肝脏脂肪变性中circRNA_0046367的变化情况及分子机制研究[40]。

作者在体外FFA诱导HepG2细胞脂肪性变模型中发现circRNA_0046367低表达,信息学分析及实验验证表明circRNA_0046367可以竞争性结合miR-34a,阻止其与靶分子PPARα的结合。脂肪性变的肝脏细胞中circRNA_0046367表达下降,释放miR-34a分子,进一步抑制PPARα的功能,促进脂肪代谢相关的基因表达,如CPT2,ACBD3等。而脂代谢带来的脂质过氧化作用会损伤线粒体,进而导致疾病。过表达circRNA_0046367能缓解该作用。

图40 circRNA_0046367竞争性结合miR-34a在肝脏脂肪变性中的作用 (来自[40])
其他circRNA与人类疾病的相关报道:
| 通讯作者 | 文章题目 | 杂志 | 概要 | ||
| 浙江大学第二附属医院眼科
Ke Yao |
Transcriptome-wide Investigation ofmRNA/circRNA in miR-184 and Its r.57c > u Mutant Type Treatment of Human Lens Epithelial Cells | Molecular Therapy: Nucleic Acids | 人类晶状体上皮细胞中miR-184及其r.57c> u突变体中mRNA / circRNA的转录组全面研究 | ||
| 郑州大学附属河南省人民医院
李牧蔚 |
Hsa_circ_0054633 in peripheral blood can be used as a diagnostic biomarker of pre-diabetes and type 2 diabetes mellitus | Acta Diabetol | 外周血Hsa_circ_0054633可作为II型糖尿病标志物 | ||
| 意大利马尼塔斯大学
Giulia Soldà |
The Characterization of GSDMB Splicing and Backsplicing Profiles Identifies Novel Isoforms and a Circular RNA That Are Dysregulated in Multiple Sclerosis | International Journal of Molecular Sciences | GSDMB基因对应circRNA与MLS的关系 | ||
| 中山三院
Wei Lai |
Circular RNA profiling reveals that circCOL3A1-859267 regulate type I collagen expression in photoaged human dermal fibroblasts | BBRC | circCOL3A1-859267在人真皮成纤维细胞表达光老化中I型胶原表达 | ||
| 北京大学第三附属医院
Ao Yingfang |
Emerging Roles of circRNA Related to the Mechanical Stress in Human Cartilage Degradation of Osteoarthritis | Molecular Therapy Nucleic Acids | 人类软骨退变性骨关节炎中circRNA变化的研究 | ||
| 广州番禺中心医院
Fan Youling |
Identification of the Spinal Expression Profile of Non-coding RNAs Involved in Neuropathic Pain Following Spared Nerve Injury by Sequence Analysis | Frontiers in Molecular Neuroscience | 神经损伤后神经痛中探索非编码RNA的研究 | ||
| 华中科技大学同济医学院
王世宣 |
Circular RNA expression profiling of human granulosa cells during maternal aging reveals novel transcripts associated with assisted reproductive technology outcomes | PLoS One | 高龄妇女颗粒细胞circRNA作为新型辅助生殖技术结果相关的标志物 | ||
| 山东大学附属山东省立医院 | Spectrum construction of differentially expressed circular RNAs in patients with leukoaraiosis and function analysis of differentially expressed genes | Molecular Medicine Reports | 脑白质疏松症circRNA表达谱分析 | ||
| 首都医科大圩附属北京朝阳医院
Yang Yuanhua |
Microarray expression profile of circular RNAs in chronic thromboembolic pulmonary hypertension | Medicine | 慢性血栓栓塞性肺动脉高压circRNA表达谱分析 | ||
| 广州军区总医院Hong Xia
南方医科大学南方医院Chen Bei |
Hsa_circ_0045714 regulates chondrocyte proliferation, apoptosis and extracellular matrix synthesis by promoting the expression of miR-193b target gene IGF1R | Human Cell | Hsa_circ_0045714通过竞争性结合miR-193b促进IGF1R表达 | ||
| 安徽医科大学附属安徽省立医院
顾永昊 |
Altered Expression Profile of Circular RNAs in the Serum of Patients with Diabetic Retinopathy Revealed by Microarray | Ophthalmic Research | 糖尿病视网膜病变中circRNA差异表达分析 | ||
| 北京中医药大学高思华和河北省中医院 | Relationships of circular RNA with diabetes and depression | Scientific Reports | II型糖尿病相关抑郁症中circRNA差异表达分析 | ||
| 郑州大学附属医院
李牧蔚 |
Hsa-circRNA11783-2 in peripheral blood is correlated with coronary artery disease and type 2 diabetes mellitus | Diabetes & Vascular Disease Research | 外周血中Hsa-circRNA11783-2与冠状动脉硬化和II型糖尿病的关系 | ||
| 广东医科大学徐军发 | The circular RNA of peripheral blood mononuclear cells: Hsa_circ_0005836 as a new diagnostic biomarker and therapeutic target of active pulmonary tuberculosis | Molecular Immunology | 外周血单个核细胞中Hsa_circ_0005836作为开放性肺结核检测标志物的研究 | ||
| 遵义医科大学
喻田 |
Chronic constriction injury of sciatic nerve changes circular RNA expression in rat spinal dorsal horn | Journal of Pain Research | 坐骨神经慢性压迫性损伤大鼠模型中脊柱背角circRNA表达谱分析 | ||
| 德国乌尔姆大学医学院
Lars Bullinger教授 |
Circular RNAs of the nucleophosmin (NPM1) gene in acute myeloid leukemia | Haematologica | circNPM1在急性髓系白血病(AML)中发挥重要作用 | ||
| 中科院武汉病毒所
Chen Mingyue和崔杰研究员 |
Identification of Novel Long Non-coding and Circular RNAs in Human Papillomavirus-Mediated Cervical Cancer | Frontiers in Microbiology | HPV诱发宫颈癌中lncRNA和circRNA表达特征 | ||
| 北京天坛医院神经外科赵继宗主任 | Altered expression of circular RNAs in Moyamoya disease | Journal of the Neurological Sciences | Moyamoya 病中circRNA表达分析 | ||
| 深圳市人民医院(暨南大学第二临床医院)
戴勇主任 |
Circular RNA expression profiles of peripheral blood mononuclear cells in rheumatoid arthritis patients, based on microarray chip technology | Molecular Medicine Reports | 类风湿性关节炎PBMC中circRNA表达分析 | ||
| 兰州大学附属第一医院
张学红 |
Altered Circular RNA Expression in Patients with Repeated Implantation Failure | Cellular Physiology and Biochemistry | 芯片法分析反复植入失败患者及对照组的子宫活检组织的circRNA表达 | ||
| 南昌大学第一附属医院
罗清和李俊明 |
Identification of differentially expressed circular RNAs in human monocyte derived macrophages response to Mycobacterium tuberculosis infection | Scientific Reports | 结核杆菌感染后单核巨噬细胞中circRNA表达变化分析 | ||
| 东南大学生物科学与医学工程学院 顾万君
内华达大学生理学与细胞生物学系 Zhou Tong |
Potential Diagnostic Power of Blood Circular RNA Expression in Active Pulmonary Tuberculosis | EBioMedicine | CircRNAs作为活动性肺结核疾病的诊断标记物研究 | ||
| 中国医科大学附属第一医院肾内科
周华 |
CircHLA-C Plays an Important Role in Lupus Nephritis by Sponging miR-150 | Molecular Therapy: Nucleic Acid | 狼疮性肾炎中CircHLA-C通过竞争性结合miR-150发挥作用 | ||
| 第二军医大学长征医院骨科创伤外科
陈爱民和朱磊 |
Circular RNA expression profile of articular chondrocytes in an IL-1β-
induced mouse model of osteoarthritis |
Gene | 关节软骨细胞在IL-1β诱导的骨关节炎小鼠模型中的circRNA表达谱 | ||
| 中国医学科学院北京协和医学院医学生物学研究所 胡云章 | Unique expression signatures of circular RNAs in response to DNA tumor virus SV40 infection | Oncotarget | DNA肿瘤病毒SV40感染后circRNA独特表达特征 | ||
.png)