血清外泌体:伊匹单抗在转移性黑素瘤中临床反应的预言家!
2017年11月16日,佛罗里达大学的Marco Tucci在ONCOIMMUNOLOGY杂志上发表了一批关于血清外泌体作为转移性黑色素瘤(MM)的预测因子的研究成果。发现免疫细胞来源的外泌体中PDI-1和CD28可能预示着黑色素瘤患者对ipilimumab(IPI)治疗有更好的临床反应。
文中介绍,通过靶向T细胞应答的抑制性和刺激性检测来条件免疫系统是一种功能性方法,它明显改善了转移性黑色素瘤(MM)的存活。其中一项相关的突破就是IPI的治疗方法,即约25%的MM患者的第一种产生持久应答和延长总体存活的药物。尽管IPI具有长期疗效,但是在免疫学参数上的证据不足,一些研究调查了T细胞表达ICOS的表达水平,然而,他们很难反映IPI与临床反应性相关。
探索黑色素瘤与免疫细胞行为的相关性,选择研究外泌体(Exo),即包含表明受体的细胞外囊泡、蛋白质、酶、RNA和源自相关细胞的DNA.外泌体源于细胞膜的内体区室,只要他们被包装并释放到外周血液中,就会表达典型的表面标记。Exo有着癌症进展相关的特征,例如:增值、血管形成和调比免疫监视。此外,来自黑色素瘤细胞的Exo也能激活上皮-间质并促进其转化。
文章中的研究采集了59名接受IPI治疗的MM患者的血清,通过流式细胞术研究其血清T细胞和树突细胞(DC)来源的外泌体水平。同时,检测了PD-1,CD28和ICOS以及CD80和CD86的相对表达。
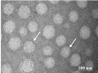
研究首先分离MM患者血清中的外泌体并进行透射电镜的鉴定,并通过流式细胞术分析血清外泌体中的标志性蛋白(CD3、CD80、CD86),检测IPI治疗前后PD-1和CD28的表达量变化。

图1 MM患者的血清外泌体的投射电镜图

图2 MM患者的血清外泌体的抗原性概况
外周单核细胞(红色)和Exo(蓝色),灰色是IgG1a同种型对照

图3 T-Exo在MM群体中分子免疫检查点的表达情况
结果显示,Progression free survival (PFS) and overall survival (OS) 改善的患者群体表现出PD-1和CD28表达显着增加(图3)。

图4 自由生存期和总生存期的Kaplan-Meier曲线,Spearman等级检验显示PD-1和CD28水平之间呈正相关。

图5 IPI前后D-Exo的CD80和CD86水平的表达差异(Δ)与临床反应相关性
在治疗结束时,在35%患者中证实了这种线性相关性增加ΔD-Exo,同时仅在18%患者中证实了ΔD-Exo降低。柱形图显示ΔD-Exo阳性(n = 26)和ΔD-Exo阴性水平(n = 33),且包括反应者(蓝色)和不反应者(红色)的患者百分比。
图4结果显示,接受IPI的MM患者在治疗结束时在DC衍生的Exo上CD80和CD86的表达上升。
以上结果提示免疫细胞来源的Exo上PDI-1和CD28可能与预示着患者对IPI更好的临床反应。
.png)
