欢迎各位来到“circRNA研究报道汇总”栏目,本期从pubmed中检索收集最新发布的circRNA文献共计27篇,下面我们一起来看看,circRNA研究最近有哪些新进展。检索式:(circRNA[Title/Abstract]) OR Circular RNA[Title/Abstract]
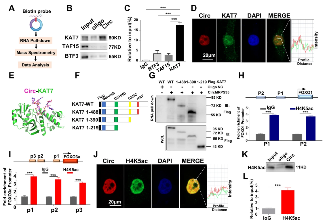
- CircMRPS35通过募集KAT7来控制组蛋白修饰来抑制胃癌的进展。
标题:CircMRPS35 suppresses gastric cancer progression via recruiting KAT7 to govern histone modification.
杂志:Mol Cancer;影响因子: 10.679
通讯作者:胡长江和杨仕明教授(第三军医大学新桥医院)
胃癌是最常见的恶性肿瘤之一,已经成为中国癌症死亡的第三大主要原因。尽管已经采用了包括外科手术,放射疗法,化学疗法和生物疗法在内的综合疗法,但其5年生存率仍然很差,部分原因是缺乏对胃癌进展机制的了解。为此,迫切需要发现更有效的生物标志物和靶标,以更好地诊断和治疗胃癌。该研究,通过RNA-seq和qRT-PCR在胃癌组织中筛选出一种新的circRNA,命名为circMRPS35,其表达与胃癌患者的临床病理特征和预后有关。生物学功能上,circMRPS35在体外和体内抑制胃癌细胞的增殖和侵袭。从机制上讲,circMRPS35充当蛋白支架,将组蛋白乙酰转移酶KAT7募集到FOXO1和FOXO3a基因的启动子,FOXO1和FOXO3a基因启动子发生H4K5的乙酰化。特别是,circMRPS35直接与FOXO1 / 3a启动子区域特异性结合,极大地激活了FOXO1 / 3a的转录并触发了其下游靶基因的表达,包括p21,p27,Twist1和E-cadherin,从而抑制了细胞的增殖和侵袭。此外,circMRPS35表达与胃癌组织中FOXO1 / 3a的表达呈正相关。该研究发现不仅揭示了circMRPS35在控制抗癌治疗中组蛋白修饰中的关键作用,而且还发现触发circMRPS35 / KAT7 / FOXO1 / 3a途径可以对抗胃癌。

图注:CircMRPS35通过募集KAT7调控组蛋白修饰来抑制胃癌的进展
- 环状RNA中m6A修饰的新见解及其对免疫的影响。
标题:Novel insights into m6A modification in circular RNA and implications for immunity.
杂志:Cell Mol Immunol;影响因子:8.213
通讯作者:Arumugam Paramasivam(印度Saveetha大学)
越来越多研究证明N6-甲基腺苷(m6A)修饰发生在circRNA和通过募集翻译因子eIF4G2和m6A阅读器YTHDF3到启动子来促进蛋白质。 信使RNA(mRNA)的m6A修饰与许多人类疾病密切相关。另外,m6A修饰途径也成为circRNA参与免疫调控的重要过程,外源性circRNA可以有效刺激免疫信号传导。 迄今为止,已有170多种细胞RNA修饰在编码RNA和各种非编码RNA中均被鉴定。m6A修饰是真核生物中最丰富最重要的修饰,调节mRNA代谢,包括剪接,稳定和翻译。 m6A修饰是由以下三种特殊的蛋白质分子催化的,通常称为“写入器”(m6A甲基转移酶),“橡皮擦”(m6A脱甲基酶)和“阅读器”(m6A结合蛋白)。 m6A的修改是由写入器和橡皮擦可逆地修饰过程。从本质上讲,而“阅读器”是YT521-B的成员同源性(YTH)蛋白家族,与RNA中的m6A选择性结合并影响他们的命运。 越来越多的证据表明m6A修饰控制免疫反应。 一些研究报告表明,流感病毒和劳斯肉瘤病毒产生带有m6A修饰的病毒转录本,在宿主抗病毒先天免疫过程中,m6A修饰的RNA无法刺激维甲酸诱导基因I(RIG-I)介导的抗病毒免疫信号传导并诱导干扰素表达。 此外,m6A修饰还涉及信号分子释放和翻译,包括MAVS,TRAF3和TRAF6,从而在抗病毒先天免疫中调节干扰素的产生。

图注:circRNA在免疫应答中的功能示意图
- circMATR3上调对下咽癌增殖、转移、进展和生存的影响。
标题:Effect of up-regulation of circMATR3 on the proliferation, metastasis, progression and survival of hypopharyngeal carcinoma.
杂志:J Cell Mol Med;影响因子:4.658
通讯作者:雷大鹏(山东大学齐鲁医院)
该研究主要聚焦在circRNAs在下咽鳞状细胞癌(HSCC)中的生物学功能和潜在的分子机制研究。研究者首先通过circRNA-seq分析,以鉴定HSCC组织与相邻正常组织之间差异表达的circRNA,并通过qRT-PCR确认了circMATR3(源自人类基因matrin3(MATR3),has_circRNA_0008922)的表达水平。CCK8检测HSCC细胞的增殖,流式细胞术分析细胞凋亡和细胞周期,并用transwell法检测HSCC细胞的迁移和侵袭。生物信息学分析预测circMATR3的可能途径和潜在的miRNA靶标。发现circMATR3在HSCC组织中被上调,而大量circMATR3的表达与晚期T分类,晚期临床分期,更大的淋巴结转移和不良预后显著相关。此外,敲低circMATR3可显着抑制HSCC细胞的增殖,迁移和侵袭,而沉默circMATR3则可诱导细胞凋亡。circMATR3可能通过充当miRNA海绵而参与癌症相关的途径。总之,该研究发现circMATR3在促进HSCC进程中的致癌作用,并证明circMATR3可能是HSCC的一种新的预后标志物和治疗靶标。

图注:CircMATR3在HSCC组织中的过表达及其与HSCC患者的预后的关系。
文献列表:
| 序号 | 主要内容 | 论文标题 | 杂志 | IF | 单位 |
| 1 | CircMRPS35通过募集KAT7来调控组蛋白修饰来抑制胃癌的进展。 | CircMRPS35 suppresses gastric cancer progression via recruiting KAT7 to govern histone modification. | Mol Cancer | 10.679 | 第三军医大学新桥医院 |
| 2 | 环状RNA中m6A修饰的新见解及其对免疫的影响。 | Novel insights into m6A modification in circular RNA and implications for immunity. | Cell Mol Immunol | 8.213 | 印度Saveetha大学 |
| 3 | 评论:神经干细胞中环状RNA的沉默-脑缺血新治疗策略的新大门吗? | The silencing of circular RNA in neural stem cells – A gateway to new therapeutic strategies in cerebral ischemia? | EBioMedicine | 6.68 | 德国科隆大学 |
| 4 | circMATR3上调对下咽癌增殖,转移,进展和生存的影响。 | Effect of up-regulation of circMATR3 on the proliferation, metastasis, progression and survival of hypopharyngeal carcinoma. | J Cell Mol Med | 4.658 | 山东大学齐鲁医院 |
| 5 | 环状RNA YAP1充当microRNA-21-5p的海绵,保护HK-2细胞免受缺血/再灌注诱导的损伤。 | Circular RNA YAP1 acts as the sponge of microRNA-21-5p to secure HK-2 cells from ischaemia/reperfusion-induced injury. | J Cell Mol Med | 4.658 | 青岛大学附属医院 |
| 6 | 双还珠RNA标记作为胃癌的非侵入性诊断生物标志物。 | A Dual-Circular RNA Signature as a Non-invasive Diagnostic Biomarker for Gastric Cancer. | Front Oncol | 4.137 | 青岛大学附属医院 |
| 7 | Lcn2衍生的环状RNA(hsa_circ_0088732)通过miR-661/RAB3D轴抑制胶质瘤中的细胞凋亡并促进EMT。 | Lcn2-derived Circular RNA (hsa_circ_0088732) Inhibits Cell Apoptosis and Promotes EMT in Glioma via the miR-661/RAB3D Axis. | Front Oncol | 4.137 | 南方医科大学珠江医院 |
| 8 | microRNA,长非编码RNA和环状RNA在宫颈癌中的作用。 | The Role of microRNAs, Long Non-coding RNAs, and Circular RNAs in Cervical Cancer. | Front Oncol | 4.137 | 那不勒斯费德里克二世大学 |
| 9 | CircPIP5K1A激活KRT80和PI3K/AKT途径,通过使miR-671-5p海绵化来促进胃癌的发展。 | CircPIP5K1A activates KRT80 and PI3K/AKT pathway to promote gastric cancer development through sponging miR-671-5p. | Biomed Pharmacother | 3.743 | 徐州医科大学附属医院 |
| 10 | STAT3诱导的circCCDC66上调通过靶向miR-33a-5p/KPNA4轴促进非小细胞肺癌的进展。 | STAT3-induced upregulation of circCCDC66 facilitates the progression of non-small cell lung cancer by targeting miR-33a-5p/KPNA4 axis. | Biomed Pharmacother | 3.743 | 青岛市市立医院 |
| 11 | 综合分析确定了在嗜铬细胞瘤和神经节瘤中关键差异表达的环状RNA和甲基化相关功能。 | A Comprehensive Analysis Identified the Key Differentially Expressed Circular Ribonucleic Acids and Methylation-Related Function in Pheochromocytomas and Paragangliomas. | Front Genet | 3.517 | 中南大学湘雅医院 |
| 12 | Hsa_Circ_0007843充当mIR-518c-5p海绵来调节结肠癌SW480细胞的迁移和侵袭。 | Hsa_Circ_0007843 Acts as a mIR-518c-5p Sponge to Regulate the Migration and Invasion of Colon Cancer SW480 Cells. | Front Genet | 3.517 | 中山大学附属第一医院 |
| 13 | 环状RNA在山羊骨骼肌发育中作用的趋势分析。 | Trend analysis of the role of circular RNA in goat skeletal muscle development. | BMC Genomics | 3.501 | 安徽农业大学等 |
| 14 | Circ_0032821通过激活MEK1 /ERK1/2信号通路在体内和体外充当人胃癌细胞在细胞增殖,转移和自噬中的致癌基因。 | Circ_0032821 acts as an oncogene in cell proliferation, metastasis and autophagy in human gastric cancer cells in vitro and in vivo through activating MEK1/ERK1/2 signaling pathway. | Cancer Cell Int | 3.439 | 郑州市中心医院 |
| 15 | 环状RNA has_circ_0003204抑制oxLDL诱导的血管内皮细胞增殖和血管生成。 | Circular RNA has_circ_0003204 inhibits oxLDL-induced vascular endothelial cell proliferation and angiogenesis. | Cell Signal | 3.388 | 上海市第九人民医院 |
| 16 | Circ-PGAM1通过调节miR-542-3p/CDC5L/PEAK1途径促进上皮性卵巢癌的恶性进展。 | Circ-PGAM1 promotes malignant progression of epithelial ovarian cancer through regulation of the miR-542-3p/CDC5L/PEAK1 pathway. | Cancer Med | 3.357 | 中国医科大学附属盛京医院 |
| 17 | 环状RNA circ_0001105通过使miR-766海绵化并激活YTHDF2表达来抑制骨肉瘤的进展和转移。 | Circular RNA circ_0001105 Inhibits Progression and Metastasis of Osteosarcoma by Sponging miR-766 and Activating YTHDF2 Expression. | Onco Targets Ther | 3.046 | 郑州中心医院 |
| 18 | Hsa_circ_RNA_0011780通过靶向miR-544a降低FBXW7抑制非小细胞肺癌的增殖和转移。 | Hsa_circ_RNA_0011780 Represses the Proliferation and Metastasis of Non-Small Cell Lung Cancer by Decreasing FBXW7 via Targeting miR-544a. | Onco Targets Ther | 3.046 | 北京世纪坛医院等 |
| 19 | CircMACF1通过miR-500b-5p-EMP1轴减轻急性心肌梗塞。 | CircMACF1 Attenuates Acute Myocardial Infarction Through miR-500b-5p-EMP1 Axis. | J Cardiovasc Transl Res | 2.756 | 北京世纪坛医院 |
| 20 | 一种新型的环状RNA,circ-ATAD1,通过靶向miR-140-3p/YY1/PCIF1信号轴来促进胃癌细胞的发展。 | A novel circular RNA, circ-ATAD1, contributes to gastric cancer cell progression by targeting miR-140-3p/YY1/PCIF1 signaling axis. | Biochem Biophys Res Commun | 2.705 | 齐齐哈尔医科大学附属第二医院 |
| 21 | 人血中hsa_circRNA_101015,hsa_circRNA_101211和hsa_circRNA_103470升高:早期诊断急性胰腺炎的新型生物标志物。 | Elevated hsa_circRNA_101015, hsa_circRNA_101211, and hsa_circRNA_103470 in the Human Blood: Novel Biomarkers to Early Diagnose Acute Pancreatitis. | Biomed Res Int | 2.197 | 中国医科大学附属第一医院 |
| 22 | CircAKT3通过调节miR-516b-5p/STAT3抑制顺铂敏感性来抑制肺癌细胞的糖酵解平衡。 | CircAKT3 inhibits glycolysis balance in lung cancer cells by regulating miR-516b-5p/STAT3 to inhibit cisplatin sensitivity. | Biotechnol Lett | 2.154 | 聊城市传染病医院 |
| 23 | 中医药治疗冠心病circRNA-miRNA-mRNA网络的研究进展。 | Advances in Research on the circRNA-miRNA-mRNA Network in Coronary Heart Disease Treated with Traditional Chinese Medicine. | Evid Based Complement Alternat Med | 1.984 | 广安门医院 |
| 24 | 激素相关的股骨头坏死中环状RNA的微阵列分析:观察性研究。 | Microarray profiling of circular RNAs in steroid-associated osteonecrosis of the femoral head: Observational study. | Medicine (Baltimore) | 1.87 | 安徽医科大学第一附属医院 |
| 25 | CircRNA hsa_circ_0013958可能通过影响上皮-间充质转化和凋亡信号通路来促进卵巢癌的发展。 | CircRNA hsa_circ_0013958 may contribute to the development of ovarian cancer by affecting epithelial-mesenchymal transition and apoptotic signaling pathways. | J Clin Lab Anal | 1.728 | 中国医科大学附属盛京医院 |
| 26 | 环状rna及其与肿瘤的生物学关系 | [Circular ribonucleic acid and its tumor-biological relevance]. | Orv Hetil | 0.564 | 塞梅尔维斯医科大学 |
| 27 | 在C57BL/6小鼠的胚胎肺发育过程中,环状RNA丰富且动态表达。 | Circular RNAs are abundant and dynamically expressed during the embryonic lung development of C57BL/6 mice. | Heliyon | Not Found | 南京妇幼保健院 |
.png)